Институт перспективных исследований проблем
искусственного интеллекта и интеллектуальных систем
МГУ имени М.В. Ломоносова
Целью Института является проведение фундаментальных и прикладных исследований в области искусственного интеллекта, а также междисциплинарных исследований с применением методов искусственного интеллекта.
Принципы работы Института — междисциплинарная кооперация, создание лабораторий в перспективных областях ИИ, реализация совместных исследований с ведущими российскими научными организациями и корпорациями.
Институт также проводит собственную образовательную программу в области анализа больших данных и машинного обучения AI Masters.
Наши лаборатории
-
«Машинное обучение и семантический анализ»
Руководитель: Воронцов Константин Вячеславович, доктор физико-математических наук, профессор РАНСпециалист в области интеллектуального анализа данных, машинного обучения, прикладной статистики, автоматической обработки и понимания текстов естественного языка, информационного поиска. Руководил 30+ научно-исследовательскими проектами.
Проекты:
- Поисково-рекомендательный сервис «Мастерская знаний»: проект направлен на создание технологий автоматизации тех этапов научных исследований, которые связаны с поиском, анализом и обработкой больших объёмов текстовой научно-технической информации. Основные функции сервиса: рекомендации научных статей при составлении тематических подборок, мониторинг новой релевантной подборке информации, автоматизация реферирования подборок, автоматическое выделение трендов научных исследований, оценивание когнитивной сложности текста и рекомендация порядка чтения, тематизация и предметизация научно-технической информации, генерация «карт знаний» и других визуальных представлений в рамках концепции дистантного чтения (distant reading).
- Проект «Тематизатор»: Использование преимущества подхода модульной библиотеки с открытым доступом BigARTM, позволяющей гибко комбинировать модели, в широком спектре прикладных задач тематического моделирования.
- Проект «Нейроэстетика»: Исследование данных о психофизиологических реакциях аудитории медиа-контента.
- Проект «Depo.AI»: Депозитарий учебных прикладных задач анализа данных и машинного обучения в различных отраслях. Описание каждой задачи содержит научно-популярный и образовательный контент, открытые наборы данных, открытый код базовых решений и метрик качества, средства автоматического контроля знаний. Депозитарий позволит ускорить формирование модульных практико-ориентированных образовательных курсов для подготовки специалистов на стыке науки о данных, искусственного интеллекта и различных прикладных областей.
-
«Интеллектуальный анализ видео»
Руководитель: Ватолин Дмитрий Сергеевич, кандидат физико-математических наукСпециализируется на исследованиях в области алгоритмов сжатия видео, современных методах измерения качества и обработки цифрового видео. Руководил 40+ проектами с компаниями Intel, Cisco, Real Networks, Samsung, Broadcom, Huawei, Tencent и др. Участвовал в запуске 7 стартапов, возраст 4 из которых более 15 лет.
Проекты:
- Разработка метрик оценки качества видео, устойчивых к атакам. В результате проведения анализа устойчивости методов оценки качества видео определяеются потенциальные способы повышения их устойчивости и предлагаются новые признаки для создания новых метрик качеста.
- Разработка платформы для субъективной оценки качества медиаданных. В рамках проекта проводятся исследования методов получения эталонных наборов субъективных оценок качества изображений и видео, а также исследования влияния различных искажений на субъективные оценки и объективные метрики оценки качества.
- Разработка бенчмарков для различных алгоритмов обработки видео. В каждый бенчмарк включается по возможности уникальный набор данных, покрывающий различные тестовые случаи для своей задачи или конкретные тестовые случаи, важные для исследований в этой области; результаты субъективного сравнения; набор метрик, имеющих высокую корреляцию с субъективным сравнением и демонстрирующих различные характеристики алгоритмов.
- Разработка методологии оценки методов повышения разрешения. В рамках проекта разрабатывается метод объективной оценки корректного восстановления деталей при использовании методов повышения разрешения видео, на основе которого проводится анализ современных подходов.
- Разработка интеллектуального метода сжатия видео, учитывающего человеческое восприятие. В рамках задачи осуществляется исследование методов построения карт внимания. Планируется понижение размера файла более 20% при сохранении визуального качества по результатам субъективного исследования.
-
«Искусственный интеллект в биоинформатике и медицине»
Руководитель: Раменский Василий Евгеньевич, кандидат физико-математических наук, доцент ФББ МГУСпециализируется в области геномной, медицинской и структурной биоинформатики. Создатель PolyPhen, одного из первых и наиболее востребованных автоматизированных программных конвейеров для интеграции комплексных геномных данных и предсказания функционального эффекта вариантов генома с помощью методов машинного обучения.
Проекты:
- Создание платформы для анализа данных транскриптомики. В этом проекте методы глубокого обучения используются для анализа данных по экспрессии генов в единичных клетках (scRNA-seq). Платформа предназначена, в частности, для предсказания изменения экспрессии генов в результате внешнего воздействия различных препаратов или нокаута отдельных генов, а также для устранения серийных эффектов в данных scRNA-seq, изучения фундаментальных основ взаимодействия генов в клетках различных типов.
- Разработка методов анализа больших данных гликомики в связке с мультиомиксными данными. (Проект включает в себя определение генетического контроля N-гликозилирования белков. Конечной целью является разработка новых способов диагностики и установление биомаркеров заболеваний, создание новых лекарств и репозиционирования уже используемых.
- Дизайн белков с заданными свойствами. В этом проекте методы глубокого обучения используются для направленного изменения свойств белков (например, термостабильности), а также для разработки антител, связывающих определенные антигены. Мы используем сочетание методов глубокого обучения, предлагающих наборы перспективных вариантов, и более традиционных расчетных методов, сужающих круг возможных кандидатов для последующей экспериментальной проверки.
- Protomenal: cоздание метода для аннотации последовательностей белков и предсказания их функциональных свойств. Модели глубокого обучения, входящие в Protomenal, позволяют предсказывать так называемые функциональные домены в белках и могут служить инструментарием для белковой инженерии.
- Onqueta: разработка подходов для раннего выявления онкологических рисков с помощью «умного» анкетирования. Унаследованные варианты генома в ряде изученных генов повышают риски развития раковых заболеваний в молодом возрасте. Генетическое тестирование обнаруживает такие варианты, но на практике может быть не всегда осуществимо по ряду причин. Анкетирование, построенное на анализе ответов на простые вопросы, позволяет быстро и экономически эффективно выявлять здоровых людей — потенциальных носителей таких опасных вариантов генома, а в случае онкобольных персонализировать терапию.
- Диагностика дефектов костей и суставов с помощью методов ИИ. В проекте используются методы анализа изображений для анализа дегенерации поясничных межпозвонковых дисков, а также для ранней диагностики нарушений конструкции эндопротеза тазобедренного сустава.
-
«Разработка инвазивных нейроинтерфейсов»
Руководитель: Попков Василий Андреевич, кандидат биологических наукСпециализируется в области регенеративной медицины, клеточной биологии и физиологии.
Лаборатория работает над созданием современных отечественных нейроинтерфейсов для фундаментальных и прикладных исследований с фокусом на практические системы для медицинского применения.
Проекты:
- Разработка инвазивного нейроинтерфейса для периферической нервной системы с потенциалом использования в протезировании конечностей, в том числе с очувствлением.
- Разработка и прототипирование инвазивных нейроинтерфейсов, в том числе для улучшения их биосовместимости.
- Разработка и оптимизация алгоритмов для кодирования, декодирования и анализа нейрофизиологических данных.
- Поиск терапевтических подходов для улучшения биосовместимости инвазивных нейроинтерфейсов при имплантации периферическую и центральную нервные системы.
Научные группы
-
«Нейронный и обратный рендеринг»Руководитель: Фролов Владимир Александрович
Компьютерное зрение, в том числе, разработка алгоритмов и методов для анализа, обработки и интерпретации изображений и видео, получения информации из визуальных данных; интеграция семантической информации, позволяющей дополнительно уточнять и интерпретировать визуальные данные.
-
«Контролируемая генерация с помощью больших языковых моделей»Руководитель: Сорокин Алексей Андреевич
Адаптация больших языковых моделей для более эффективного исправления грамматических ошибок и опечаток в русском языке, а также улучшение качества ответов на фактоидные вопросы через повышение подтвержденности сгенерированного текста.
-
«Мультимодальное обучение в материаловедении»Руководитель: Королёв Вадим Викторович
Решение ключевых проблем материаловедения за счет привлечения концепции мультимодального обучения.
-
«Онлайн оптимизация и приложения»Руководитель: Дорн Юрий Владимирович
Использование методов онлайн-оптимизации для задач о многоруких бандитах и к их приложениям: методам онлайн оптимизации для многоруких бандитов с тяжелым распределением наград; онлайн-методам с ML-оракулом для задач комбинаторной оптимизации; алгоритмам динамического ценообразования; онлайн-методам для построения оптимальных аукционов.
-
Образовательная программа «Машинное обучение и бизнес-аналитика» (AI Masters)Бесплатная образовательная программа в области наук о данных от Института ИИ МГУ
AI Masters - бесплатная образовательная программа в области наук о данных от Института ИИ МГУ. Вы научитесь: писать эффективный код, работать с индустриальным стеком, обучать модели ML/DL, строить математические модели. Продолжительность программы - 18 месяцев (с сентября 2024 года по июнь 2026 года). Для поступления необходимо пройти онлайн тестирование, выполнить экзамен или контест (на выбор), пройти собеседование.
Тип программы: общеобразовательная программа для взрослых.
Область знания: математические и естественные науки.
Специализация: компьютерные и информационные науки.
Форма обучения: заочная с использованием дистанционных образовательных технологий. Количество аудиторных часов: 736.
Общее количество часов: 1446.
Выдаваемый документ: диплом.
Руководитель программы: Дорн Ю.В.
Образовательная программа проходит на базе подразделения МГУ: Институт перспективных исследований проблем искусственного интеллекта и интеллектуальных систем.
Подробнее о программе: https://aimasters.ru/
Узнайте больше про Институт ИИ МГУ в очетах и документах
Годовой отчет 2023
Новости
Регистрация на конференцию Data Fusion 2026
Программа включает более 60 отраслевых и научных сессий, дискуссий, кейс-разборов и докладов по теме анализа данных/ DS/ ML. Среди тем — ИИ-агенты, RL, CV, NLP, Open Source, Embodied AI и робототехника, рекомендательные системы, применение ИИ в кибербезопасности, AI+ естественные науки, AgentOps и многое другое.
Конференция объединит руководителей ML-команд, DS-специалистов, молодых ученых, инженеров, аналитиков и руководителей, принимающих решения о внедрении технологий в бизнес и государственные сервисы.
Отдельное внимание будет уделено развитию рынка данных в России, инфраструктуры для ИИ-вычислений и практическому опыту применения технологий — от промышленности и транспорта до креативных индустрий и медиа.
Все мы любим конференции не только ради знаний, но и, конечно, ради нетворкинга и новых знакомств! Живое общение в кругу коллег, друзей и единомышленников — важная часть Data Fusion.
В дни конференции также пройдет награждение победителей конкурса научных статей «Научный прорыв года в ИИ» от ВТБ при поддержке Института ИИ МГУ.
Регистрация на Data Fusion 2026: https://data-fusion.ru/guest.html?utm_source=msu
Научно-методический семинар «Цифровая среда»
????Вероятностное тематическое моделирование и его применение в цифровых гуманитарных исследованиях. Почему задача мягкой кластеризации больших текстовых корпусов не теряет актуальности в эпоху LLM?
????Автоматизация контент-анализа. Можно ли обучить модели находить нужные смыслы в миллионах текстов? Возможно ли построить одну универсальную модель для любых задач контент-анализа в разных предметных областях?
????«Мастерская знаний». Как выстраивать взаимодействие человека и ИИ в научных исследованиях? Какими могут быть системы будущего для поиска и анализа научной информации? Как научить ИИ выделять главное, если нам самим это удается далеко не всегда?
Запись семинара
Презентация доклада
Научные встречи ко Дню российской науки прошли в Первом Лобачевского
Уже четвертый год подряд в Первом Лобачевского - филиал МГУ в г. Усть-Лабинске проходят Научные встречи, приуроченные ко Дню российской науки. В рамках лекционной части для учащихся выступил Михаил Пукемо, младший научный сотрудник лаборатории «Машинное обучение и семантический анализ» Института ИИ МГУ, м.н.с. Центра ИИ МГУ с лекцией «ИИ в науке. ИИ в МГУ. Тренды 2026».
Как разобраться в стремительно развивающемся мире ИИ экологично и продуктивно? И как разграничить понятия «искусственный интеллект» и «нейросеть»? Особое внимание уделялось основным этапам работы ИИ, от сбора данных до принятия решений, а также применению ИИ в ключевых отраслях и возможности ИИ в искусстве, включая создание сценариев и фото- и видеоконтента, а также его бытовое применение в концепции «умного дома» и как обучающиеся могут использовать современные технологии для получения знаний.
Также в докладе были представлены конкретные примеры научных исследований ИИ в МГУ, прогнозы индустриальных трендов ИИ и развития технологий в России на 2026 год.
НАУЧНЫЙ ПРОРЫВ ГОДА В ИИ 2026
Тематики конкурса:
- Математический аппарат ИИ
- Алгоритмы оптимизации
- Машинное обучение и глубокое обучение
- Нейроморфные вычисления
- Робототехника
- Объяснимый ИИ
- Другие смежные области: любые другие работы, связанные с инновациями и развитием искусственного интеллекта, его приложениями и новыми перспективными направлениями.
Призовой фонд составит 3 000 000 рублей, будут выбраны три победителя. Подать заявку можно до 30 января на сайте конкурса: https://awards.data-fusion.ru/ai/
Торжественная церемония награждения победителей состоится в рамках конференции Data Fusion в Москве 8-9 апреля 2026 г.
Институт ИИ МГУ и Центр ИИ МГУ на фестивале «НАУКА 0+»
В Шуваловском корпусе МГУ прошли открытые лекции ученых в области искусственного интеллекта в рамках юбилейного Международного фестиваля «НАУКА 0+», лекции можно посмотреть онлайн:
- Дария Клеева — «Киберпанк отменяется? Нейроинтерфейсы без иллюзий», смотреть ВКонтакте
- Михаил Лебедев — «Нейроинтерфейсы: от партий отдельных нейронов до симфоний их ансамблей», смотреть ВКонтакте
- Кьяра Макиевская — «Рождение оракула — как Пифия стала самой умной крысой?», смотреть ВКонтакте
- Михаил Пукемо — «Хайп на паузу: ближайшее будущее ИИ без паники», смотреть ВКонтакте
- Василий Раменский — «Искусственный интеллект в мире биологических молекул», смотреть ВКонтакте
В этом году Фестиваль проводился в 20-й раз, мероприятия проходили 10-12 октября и собрали более 19 миллионов участников в очном и дистанционном формате.
Перспективы технологий ИИ для банков обсудили на Международном банковском форуме
Во второй день XXII Международного банковского форума в Сочи, организованного Ассоциацией банков России, эксперты финансовой и научно-технологической сферы обсудили перспективы внедрения искусственного интеллекта и сопутствующие риски.
Заместитель директора Института искусственного интеллекта МГУ Андрей Грунин принял участие в круглом столе «Высокие технологии — потенциал и риски».
Модератор сессии, президент ГК InfoWatch Наталья Касперская поставила вопросы о том, насколько безопасно внедрять искусственный интеллект в финансовой сфере и на какие потенциальные риски стоит обратить внимание компаниям. Также она обозначила проблему ответственности за решения и ответы ИИ.
Искусственный интеллект в финансовом секторе позволяет автоматизировать часть бизнес-процессов и повысить производительность труда. Его применения также перспективны в гиперперсонализации сервисов, скоринге, управлении рисками одновременно на макро- и микроуровне, антифрод-системах.
Но какие риски несут в себе сами технологии ИИ? Мы в Институте ИИ МГУ совместно с Банком ВТБ провели экспертно-аналитическую работу по изучению вызовов и перспектив развития LLM и агентских систем. Одна из неочевидных проблем — это риск предвзятости. Например, при кредитном скоринге данные для обучения могут повлиять на предвзятое отношение модели к некоторым категориям граждан. Также опасная тенденция — это очеловечивание алгоритмов, назовём это риском неадекватного восприятия и использования ИИ. Но один из главных возможных «чёрных лебедей» — эмерджентность, непредсказуемость взаимодействия множества автономных ИИ-агентов, проявление у них эффектов роевого поведения, последствия которого не просчитаны.
Важно отметить непрозрачность решений ИИ (проблема «чёрного ящика»), что усложняет интерпретацию этих решений и возникает вопрос доверия к результату. Это имманентное свойство текущего поколения ИИ, полностью его решить не получится. Придется принять как данность, перестраивая бизнес процессы так, чтобы эти риски не влияли. С точки зрения практики нам важны метрики точности и ошибок в работе ИИ, поэтому мы сосредоточились на развитии методологии определения токсичности и галлюцинаций в работе больших языковых моделей, а также на построении систем, которые могут их детектировать и исправлять.
Повышенные риски использования технологий ИИ в критических областях требуют некоторой регуляции. Но наша экспертная позиция такова: регулировать необходимо само применение (в том числе вовлекая страховой механизм), а не разработку алгоритмов, иначе есть риск отставания в технологической гонке.
Если говорить не про риски, а про потенциальные перспективные направления, смежные с технологиями ИИ, — это нейротехнологии, которыми мы тоже занимаемся в Институте ИИ МГУ. В этой области в ближайшие 5-10 лет могут произойти серьёзные прорывы, которые изменят наше взаимодействие с цифровым миром.
— отмечает Андрей Грунин.
Фото: Ассоциация банков России
Ученые Института ИИ МГУ выявили лучшие материалы для нейроимплантов
Представьте крошечный имплант, который помогает восстановить движение после травмы или вернуть утраченные чувства. Как сделать их не только эффективными, но и безопасными для мозга на долгие годы?
Ученые из лаборатории разработки инвазивных нейроинтерфейсов Института ИИ МГУ опубликовала статью «Foreign Body Reaction to Neural Implants: A Comparative Study of Polymer Toxicity and Tissue Response» в журнале Biosensors (Q1), в которой представлено исследование важнейших характеристик материалов для нейроимплантов.
В чем сложность?
Материалов для нейроимплантов много, но сравнить их между собой непросто — в редких исследованиях тестируют сразу несколько разных материалов, а между научными группами методики тестов и экспериментальные модели значительно различаются.
Ученые Института ИИ МГУ преодолели эти ограничения, сравнив сразу 10 полимеров в абсолютно одинаковых экспериментальных условиях. Одни и те же материалы были протестированы как на клеточных культурах, так и с помощью гистологического исследования тканей крыс, которым на месяц имплантировали изучаемые материалы.
Важно, что все исследуемые полимеры могут использоваться при 3D-печати, наиболее эффективном способе изготовления нейроимплантов. Такая технология позволяет создавать персонализированные ипланты сложной топологии сразу из нескольких материалов, идеально подходящие конкретному пациенту. В данной работе экспериментальные образцы также получались в том числе с применением 3D-печати.
Исследование выявило материалы, проявляющие нежелательные эффекты на клеточном и тканевом уровнях. Меньше патологических реакций было у таких полимеров, как полиимид, полидиметилсилоксан и полилактид, что делает их перспективными материалами для изготовления нейроимплантов.
Подробности исследования — в статье по ссылке.
Работа проведена при грантовой поддержке Программы развития МГУ, а полученные данные уже используются в лаборатории инвазивных нейроинтерфейсов Института ИИ МГУ при изготовлении имплантируемых нейроинтерфейсов.
В МГУ прошла Международная форсайт-сессия по искусственному интеллекту
В МГУ провели Международную форсайт-сессию, посвященную глобальным трендам развития искусственного интеллекта. Мероприятие прошло в очном формате при участии ведущих зарубежных и российских учёных, а также представителей индустриальных партнёров — компаний ВК и ВТБ.
Организаторами мероприятия выступили Институт ИИ МГУ, Исследовательский Центр искусственного интеллекта МГУ (ИЦ ИИ МГУ) и Стратегическое агентство поддержки и формирования ИИ-разработок (САПФИР).
Международный форсайт проводится по поручению Президента России Владимира Путина с целью формирования экспертных рекомендаций по стратегическим направлениям развития ИИ. Привлечение международных экспертов позволило создать уникальную площадку для прогнозирования научных прорывов и выявления перспективных областей для международного партнёрства.
«Область ИИ продолжает стремительно развиваться и не собирается снижать темпы в ближайшие годы. А там где быстрый прогресс, там и постоянные изменения в структуре и организации области. И наша первая форсайт-сессия это наглядно подтвердила. Один маленький пример. Ещё в прошлом году считалось, что Большие Языковые Модели (БЯМ) — это основной инструмент для обработки текстов, символьной информации, а Диффузионные модели — основной подход для обработки не-символьных данных. Но в этом году уже все перемешалось. БЯМ стали широко применятся для обработки не-символьных данных, а Диффузионные модели выстрелили для обработки текстов. Смысл в таком разделении исчез, поэтому мы всё переписали в терминах «Фундаментальных генеративных моделей».
Также благодаря участию наших иностранных коллег нам удалось дополнить Форсайт важными разделами. Например, распознавание сгенерированных данных, интеграция цифровых «водяных знаков», и распознавание использованных при обучении частных или запрещённых данных. Это подчеркивает важность именно международного Форсайта, сотрудничества с нашими зарубежными коллегами».
— отметил Антон Конушин, научный руководитель ИЦ ИИ МГУ, Программный директор Фонда «Интеллект», руководитель научной группы «Пространственный интеллект» AIRI.
Работа была организована в рамках трех рабочих групп:
- Фундаментальные и генеративные модели (Foundation and Generative Models): Создание более эффективных архитектур, методов обучения и тонкой настройки для крупных языковых и мультимодальных моделей.
- Данные для ИИ (Data for AI): Совершенствование методов создания, обработки и очистки данных, а также развитие передовых практик обеспечения конфиденциальности и безопасности.
- Вычислительные ресурсы для ИИ (Computations for AI): Разработка и оптимизация аппаратных и программных решений для эффективного обучения и запуска масштабных ИИ-моделей.
Иностранными экспертами выступили профессор Шуньцюань Тан (H-index 28) и профессор Чаншэн Чэнь (H-index 19) из Совместного российско-китайского университета МГУ-ППИ в Шэньчжэне.
Участниками форсайт-сессии также стали ученые Института ИИ МГУ:
- Константин Воронцов (д.ф.-м.н., H-index 21), специалист по машинному обучению, оптимизации и обработке естественного языка;
- Дмитрий Ватолин (к.ф.-м.н., H-index 21), эксперт в области сжатия и обработки видео;
- Юрий Дорн (к.т.н.), специалист по оптимизации, теории игр и машинному обучению;
- Владимир Фролов (к.ф.-м.н.), эксперт в области компьютерного зрения и вычислений для машинного обучения;
- Арчил Майсурадзе (к.ф.-м.н.), специалист по подготовке данных и многомерному анализу.
Результаты форсайт-сессии войдут в итоговый отчет Международного форсайта в сфере ИИ и будут представлены в ООН и Президенту России Владимиру Путину в рамках ежегодной международной конференции по ИИ AI Journey.
МГУ создал факультет искусственного интеллекта
МГУ создал факультет ИИ и начал подготовку к первому набору студентов, сообщил журналистам ректор МГУ Виктор Садовничий.
На базе вуза уже действуют Исследовательский центр в сфере искусственного интеллекта и Институт ИИ, а также фонд «Интеллект». 1 сентября 2023 года в вузе состоялся запуск суперкомпьютера «МГУ-270» направленного на развитие ИИ-систем и исследования с использованием этих технологий. Сегодня он загружен на 100%.
Новый факультет позволит интегрировать все эти элементы в единую систему, что обеспечит всестороннюю подготовку кадров для данной сферы, а также способствует более широкому внедрению технологий ИИ в различные области исследований. Первый набор студентов состоится в следующем году.
МОЗГ. Что скрывает главный орган нашего тела?
В новом фильме «Метода Сократа» вместе с Михаилом Лебедевым, научным руководителем проекта «Фундаментальные и прикладные нейротехнологии» МГУ отправляемся в научное путешествие внутрь сознания!
Новый выпуск позволит узнать про:
- эксперименты с нейроинтерфейсами
- как возникают страх, выбор и вдохновение
- где рождаются мысли и что формирует личность
- мифы о мозге и многое другое...
В МГУ обнаружили биомаркеры для диабета, артрита и болезней печени
Ученые из лаборатории искусственного интеллекта в биоинформатике и медицине Института искусственного интеллекта МГУ, возглавляющие международный исследовательский консорциум, впервые выявили роль 16 участков генома человека в регуляции N-гликозилирования белков плазмы крови и установили связь этих участков с заболеваниями печени и воспалительным ответом. Результаты исследования опубликованы в журнале Nature Communications.
Гликозилирование — это процесс, в ходе которого к белкам присоединяются сложные углеводы (гликаны), определяющие их функцию и стабильность. Более половины белков плазмы крови человека подвергаются N-гликозилированию, а нарушения этого процесса играют роль в развитии различных заболеваний.
«Наша лаборатория инициировала и возглавляет международный консорциум по исследованию генетических механизмов регуляции N-гликозилирования белков плазмы крови. Совместными усилиями мы собрали крупнейшую в мире коллекцию гликомов и геномов, включающую более 10 000 образцов — это почти втрое превышает масштаб нашего предыдущего исследования», — отмечает Содбо Шарапов, научный сотрудник Института искусственного интеллекта МГУ.
В результате исследования были выявлены 40 участков генома (из них 16 — впервые), замены в которых влияют на N-гликозилирование белков плазмы крови. Кроме того, выдвинуты гипотезы о 31 гене, закодированном в этих участках, продукты которых могут влиять на гликозилирование белков. Анализ данных генов показал, что, помимо влияния на уровни гликанов, они также участвуют в патогенезе таких заболеваний, как диабет I и II типов, ревматоидный артрит, системная красная волчанка, ишемическая болезнь сердца, подагра, а также в ряде онкологических заболеваний. Более того, ученые установили причинно-следственные связи между нарушениями липидного обмена и уровнем определенных гликанов в плазме крови.
.Институт ИИ МГУ открывает набор на AI Masters 2025
AI Masters — это бесплатная программа дополнительного профессионального образования в области наук о данных от Института ИИ МГУ.
- 2 года, вечернее обучение, онлайн
- 2 трека: Data Science и Business Intelligence, 30+ курсов
- Преподаватели из МГУ, МФТИ, ВШЭ, Skoltech, Газпромбанк, Yandex, Ozon tech, Wildberries
- Первый год обучения в Институте ИИ МГУ, второй — на Факультете ИИ МГУ
- Успей подать заявку до 6 августа!
* * * * *
День открытых дверей AIM — это возможность узнать про этапы поступления, программу обучения и карьерные перспективы.
- 31 июля в 16:00
- Онлайн, ссылка будет в чате AIM
Ученые Института ИИ МГУ представили исследование на международной конференции HCI International 2025
В конце июня в Швеции прошла 27-я Международная конференция по взаимодействию человека и компьютера HCI International 2025, объединившая около 7 тыс. ученых со всего мира.
Исследователи лаборатории «Машинное обучение и семантический анализ» (МОСА) Института ИИ МГУ представили работу, посвященную автоматическому выявлению общечеловеческих ценностей в текстах.
«В статье мы обсуждаем задачи машинного обучения для автоматического определения социогуманитарных ценностей, ряд стратегий обучения, результаты их тестирования, а также представляем набор данных на русском языке и процедуры оценки. Работа вызвала значительный интерес: с момента публикации препринта в феврале 2025 года ее прочитали уже более 700 раз, а в марте она стала самым читаемым препринтом МГУ и МФТИ», — комментирует Ольга Ринк, научный сотрудник Лаборатории МОСА.
В МГУ усовершенствовали тонкопленочные электроды для интерфейсов мозг-компьютер
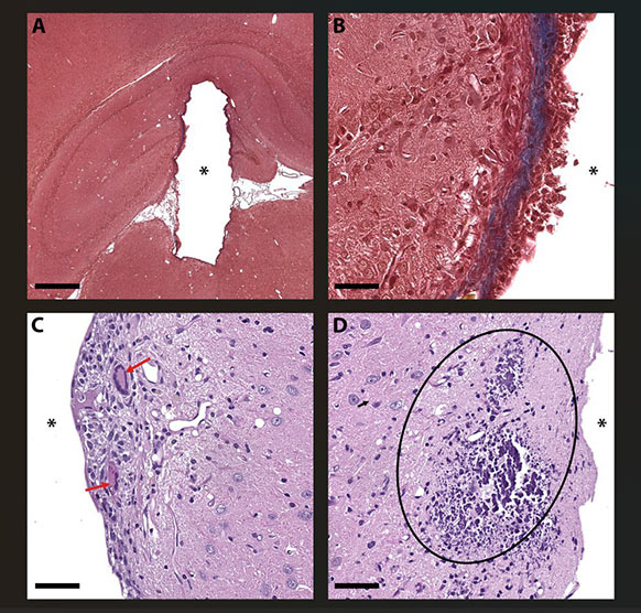
Лаборатория разработки инвазивных нейроинтерфейсов Института МГУ опубликовала статью «Fast Prototyping of Thin-Film Polyimide Electrodes for Neural Interfacing: Tantalum Metallization as an Alternative to Noble Metals» в журнале ACS Applied Electronic Materials (Q1).
Тонкопленочные электроды — перспективный подход к разработке безопасных и стабильных нейроинтерфейсов. В исследовании представлен метод изготовления тонкопленочных электродов, который позволяет дешевле и быстрее создавать прототипы по сравнению с традиционными подходами. Также в исследовании протестирован тантал в качестве основного проводящего слоя электрода. Тантал — экономически эффективная и надежная альтернатива традиционно использующимся благородным металлам.
«Всего лишь за 2 года работы лаборатории мы прошли путь от разработки дизайна наших первых тонкопленочных электродов до тестирования биосовместимости готовых прототипов в длительных (до 6 месяцев) экспериментах. Результаты пройденного нами пути и вошли в опубликованную статью.» — Попков Василий, руководитель лаборатории разработки инвазивных нейроинтерфейсов ИИИ МГУ.
Ученые тщательно оценили функциональность и безопасность электродов, изготовленных с использованием предложенного в статье метода. Было обнаружено, что электроды безопасны для окружающих тканей даже при их долгосрочном применении. Результаты работы лаборатории — серьезный шаг на пути интеграции искусственного интеллекта и мозга человека с помощью имплантируемых нейроинтерфейсов.
Институт ИИ МГУ на WebConf’25
Международная конференция WebConf’25, проходившая в этом году в Сиднее, является одним из самых престижных и значимых научных мероприятий в области веб-технологий и интернет-исследований. Конференция также известна тем, что на ней представляют прорывные технологии: например, в прошлые годы здесь дебютировали алгоритмы, которые легли в основу Google, и методы анализа социальных сетей.
Научные сотрудники Института ИИ МГУ представили на конференции в рамках постерной сессии исследование «BAT: Benchmark for Auto-bidding Task», которое было проведено совместно с компанией Avito.
Работу, которая предлагает первый за 10 лет бенчмарк по автобиддингу, представляли сотрудники научной группы «Онлайн оптимизация и приложения» Института ИИ МГУ Александра Хирьянова, Екатерина Солоднёва (t.me/k_ai_f_bykatya) и Андрей Пудовиков (t.me/anpudov_channel).
«Наша работа посвящена созданию нового бенчмарка для оценки алгоритмов автобиддинга. Автобиддинг — это процесс автоматического распределения бюджета продавца на ставки в различных аукционах за размещение объявлений. Проблема существующих исследований в этой области заключается в том, что большинство экспериментов проводится на устаревшем датасете IPinYou от 2014 года, который содержит данные о очень малом количестве продавцов и ограниченное количество признаков. В рамках нашего исследования мы предлагаем новый, более репрезентативный датасет. Также в бенчмарке мы приводим несколько автобиддинг алгоритмов из других статей и реально применявшихся в компании.»
Институт ИИ МГУ и банк ВТБ провели экспертное исследование ключевых вызовов в развитии больших языковых моделей
Обсуждение наиболее важных выводов исследования было представлено в ходе дискуссии «Большие модели, большие вопросы: анализ вызовов и поиск решений» на конференции по анализу данных и технологиям ИИ Data Fusion 2025.
Модератором встречи выступил заместитель директора Института ИИ МГУ имени М.В.Ломоносова Андрей Грунин.
Исследование представляет собой визионерскую аналитику о развитии больших языковых моделей и их влияния на общество. В фокусе внимания исследователей оказались одни из ключевых сфер жизни общества — коммуникации, образование и рынок труда. Также были проанализированы ключевые вызовы и барьеры, сдерживающие дальнейшее развитие LLM. Исследование было разделено на несколько блоков: влияние LLM на человека и коммуникации, их влияние на общество, а также ограничения в дальнейшем развитии.
Аналитика основана на интервью ученых, представителей ведущих научных организаций страны — МГУ, МФТИ, НИУ ВШЭ, РАН, РАНХиГС и др. В работе приняли участие две группы респондентов — ведущие эксперты в развитии искусственного интеллекта и в области социогуманитарных наук. Это позволило сравнить два разных, но дополняющих друг друга взгляда на развитие и внедрение LLM.
«Специалисты по развитию искусственного интеллекта обратили внимание на природу работы языковых моделей и связанные с ней вызовы — преодоление дефицита качественных данных для обучения моделей, появляющиеся галлюцинации моделей — когда модель предлагает решение, заведомо не соответствующее действительности. Также респонденты обратили внимание на зависимость от поставщиков моделей и данных и призвали сфокусироваться на повышении квалификации специалистов соответствующих отраслей.
Социогуманитарные специалисты сфокусировались на социальных, этических и психологических аспектах. Например, они обратили внимание, что люди зачастую склонны очеловечивать модели. Это повлияет на общие подходы к коммуникациям в обществе, отмечают эксперты».
Объявлены победители конкурса «Научный прорыв года в ИИ» в рамках премии Data Fusion Awards 2025
Номинация «Научный прорыв года в ИИ» — это премия для ученых, в рамках которой отбирались наиболее значимые научные работы в области искусственного интеллекта, опубликованные в 2024 году. В жюри премии вошли ведущие ученые в области ИИ, и их главной задачей было отметить те работы, которые могут внести существенный вклад в развитие ИИ и его прикладное применение.
Подробнее о победителях читайте по ссылке: t.me/iai_msu/156.
Между победителями распределен призовой фонд размером в 3 млн рублей для дальнейшей реализации научных проектов.
Организатором конкурса является издание CNews, соорганизатором — банк ВТБ. Академическим партнером конкурса выступил Институт искусственного интеллекта МГУ.
Мечтать, чтобы строить: как прошёл сезон «Будущее здесь»
Гипотезы становятся концепциями, идеи — планами, а мечты — реальностью особенно быстро, когда речь идёт об искусственном интеллекте. Сезон «Будущее здесь», который прошёл на Хабре при поддержке ВТБ и Института ИИ МГУ, стал лабораторией ближнего будущего и открытой литературной вселенной с научными экспериментами над сценариями развития технологий ИИ.
Участники сезона принесли десятки версий завтрашнего дня: одни — в виде рассказов, другие — как инженерные концепции и технологические прогнозы. В состав жюри конкурса научной фантастики также вошел Константин Воронцов, руководитель лаборатории лабораторией машинного обучения и семантического анализа Института ИИ МГУ, которому принадлежит идея конкурса:
«Научная фантастика имеет огромный потенциал для создания позитивных образов будущего — того будущего, в которое захочется нам и нашим детям. Это трудная деятельность, требующая научных знаний, междисциплинарной экспертизы и огромного количества эмпатии — любви к ближнему, веры в человечество, преклонения перед уникальностью нашего космического дома. Литературное творчество в жанре научной фантастики снимает барьеры входа для тех, кого мысли о будущем беспокоят, но страх ошибиться с прогнозами останавливает. Какие есть реалистичные сценарии развития технологий искусственного интеллекта? Как они будут менять человека и общество? Какую деятельность следовало бы разворачивать уже сегодня, чтобы эти изменения оказались благоприятными?»
Нам не хватает площадки для литературных экспериментов, где можно было бы думать над этим вместе. Продуктивной формой такого рода коллективных размышлений могло бы стать создание литературных вселенных, опирающихся на реалистичные фантастические гипотезы, основанные на сегодняшних научных трендах. Хочется надеяться, что прошедший сезон «Будущее здесь» перейдёт в формат регулярного литературного конкурса с миссией проектирования будущего.
Награждение победителя прошло во время конференции Data Fusion 2025.
На Data Fusion обсудили развитие нейроинтерфейсов
Возможности нейроинтерфейсов для управления психоэмоциональным состоянием, улучшения памяти и мышления, а также новые формы коммуникации обсудили участники сессии «Нейротехнологии: гонка за будущим», которая состоялась на конференции Data Fusion в Москве.
По мнению экспертов, развитие нейроинтерфейсов будет определяться не только научными и технологическими факторами, но и глобальной конкуренцией между странами. Василий Попков, руководитель лаборатории инвазивных нейроинтерфейсов Института ИИ МГУ, отметил, что нейротехнологии станут следующим полем международной технологической гонки.
«Гонка нейротехнологий неизбежна — как в своё время космическая или ядерная. Сейчас два технологических центра, США и Китай, конкурируют между собой, и у них нет времени тормозить. И это может стать драйвером развития отрасли во всём мире. Вопрос в том, как создать продукты, которые станут массовыми. Технологии уже позволяют вживлять устройства, которые действительно работают. Но чтобы добиться качества, сопоставимого с айфоном, потребуется гигантский объём инвестиций и усилий», — подчеркнул Василий Попков.
Нейроинтерфейсы стремительно выходят за рамки медицины и научных экспериментов — в ближайшем будущем они могут стать повседневным инструментом для повышения когнитивных способностей, управления гаджетами и даже усиления интуиции.
Data Fusion 2025
16 и 17 апреля в Москве в Технологическом кластере «Ломоносов» пройдет пятая конференция Data Fusion, посвящённая науке о данных и технологиям искусственного интеллекта, партнером которой традиционно выступает Институт ИИ МГУ.
На площадке встретятся ученые, представители бизнеса и государства, чтобы обсудить передовые исследования и разработки в сфере машинного обучения и работы с данными, применение ИИ для решения практических задач, вопросы будущего развития технологий.
Деловая программа второго дня будет посвящена безопасной и эффективной работе с данными, в том числе ее юридическим и GR-аспектам.
Участников ждут профильные доклады, дискуссии и кейсы ведущих ученых и практиков из сферы Data Science: всего более 70 сессий и более 250 спикеров в 14 тематических треках.
Участие бесплатное, регистрация на конференцию.
Научный прорыв года в ИИ
Объявлен старт приема заявок на премию Data Fusion Awards.
В этом году впервые премия будет включать специальную номинацию, посвященную научным прорывам в области искусственного интеллекта. Члены жюри отберут самые значимые научные работы российских ученых в области ИИ, опубликованные в 2024 году — всего определят трех победителей.
Общий призовой фонд конкурса составит 3 000 000 рублей — каждый из номинантов получит 1 000 000 рублей в качестве денежного вознаграждения.
Успеть подать научную статью в журналах и трудах конференций можно до 23 января 2025 года.
Помимо конкурса научных статей, премия будет присуждаться еще в четырёх различных номинациях: «Data Fusion в бизнесе», «Data Fusion в госсекторе», «Технологии Data Fusion» и «Data Fusion в образовании».
Торжественное награждение победителей состоится на конференции Data Fusion в Москве 16–17 апреля 2025 года.
Узнать подробнее про номинацию «Научный прорыв года в ИИ» можно на официальном сайте премии: awards.data-fusion.ru
Конференция IEEE VCIP 2024
Конференция IEEE по визуальным коммуникациям и обработке изображений (vcip2024.org) проходила в этом году с 8 по 11 декабря в Японии.
IEEE VCIP имеет давнюю традицию демонстрации передовых технологий в области визуальной коммуникации и обработки данных, и многие знаковые статьи впервые появились именно на этой конференции. В 2024 году на ней были рассмотрены новые технологические рубежи и варианты использования в области обработки визуальных сигналов и коммуникации, представлено будущее как технологий, так и их приложений.
В этом году Институт ИИ МГУ на IEEE VCIP представлял Николай Сафонов, сотрудник лаборатории «Интеллектуальный анализ видео».
«Я выступал с докладом по статье «Multi-Screen Effects on Quality Assessment: Investigating Banding Metrics Inconsistencies». В этой статье мы показали, что существующие метрики оценки ложных контуров на видео (искажения возникающие из-за недостаточной точности сигнала) имеют сильно различную корреляцию в зависимости от условий просмотра. Для этого мы собрали три датасета в различный условиях просмотра. В том числе воспроизвели субъективные эксперименты из других статей.» — комментирует Николай Сафонов.
Институт ИИ МГУ на Конгрессе молодых ученых 2024
С 27 по 29 ноября на федеральной территории «Сириус» проходит Конгресс молодых ученых — ключевое ежегодное событие Десятилетия науки и технологий в России.
27 ноября состоялась сессия «Нейротехнологии — шаг в будущее», организаторами которой выступил Институт ИИ МГУ совместно с компанией «Моторика». Экспертами сессии также выступили руководитель лаборатории «Инвазивных нейроинтерфейсов» Института ИИ МГУ Василий Попков и научный руководитель проекта «Фундаментальные и прикладные нейротехнологии» МГУ Михаил Лебедев.
Технологии, недавно считавшиеся научной фантастикой, сегодня становятся частью нашей повседневной жизни и помогают людям эффективно решать задачи в различных областях деятельности. Нейротехнологии — один из самых многообещающих технологических трендов последнего времени. Искусственный интеллект также открывает новые возможности для развития функционала нейроинтерфейсов и способов их применения.
Однако, развитие этого направления требует больших усилий всего сообщества. Готовы ли российские ученые, предприниматели, инвесторы и государство к развитию данных технологий, для обеспечения будущего суверенитета в этом направлении? В ходе дискуссии эксперты обсудим вопросы современного состояния, областей применения, текущих ограничений и потенциальных возможностей, этики и перспектив развития нейротехнологий в ближайшем будущем.
Фото: РИА Новости, Фотобанк РОСКОНГРЕСС
Организаторы Конгресса: Минобрнауки России, Координационный совет по делам молодежи в научной и образовательной сферах и Фонд Росконгресс.
Российские ученые подключили мозг крысы к искусственному интеллекту
Ученые из МГУ имени М.В.Ломоносова совместно с российской биотех-лабораторией Neiry презентовали первые результаты уникального эксперимента — впервые в мире ученые и разработчики подключили мозг крысы к искусственному интеллекту.
Этот проект опирается на устройства, разработанные в рамках крупного межфакультетского проекта МГУ «Фундаментальные и прикладные нейротехнологии» под руководством профессора Лебедева Михаила Альбертовича. В этом проекте объединили усилия Институт искусственного интеллекта МГУ, Физический факультет МГУ, Механико-математический факультет МГУ и другие подразделения.
В Институте ИИ МГУ идет работа над созданием устройств и алгоритмов для нейроинтерфейсов и, в первую очередь, фокус этих разработок медицинский, однако у них могут быть и не медицинские применения.
В рамках проекта под названием «ИИнтуиция» исследователи внедрили в мозг крысы инвазивный нейроинтерфейс, который взаимодействует с ИИ. Ученые устно задавали крысе вопрос, а ИИ подсказывал верный ответ с помощью электрической стимуляции мозга. Для крысы «подсказка от ИИ» выглядит как ощущения в теле в определенном месте, когда надо ответить «да», и в другом — когда ответ «нет». За правильный ответ Пифия получает вознаграждение. Так крыса смогла ответить на вопросы по различным областям знаний — от физики и истории до математики и нейрофизиологии.
«В рамках совместного проекта с Neiry мы решили протестировать наши устройства на моей, немного хулиганской с научной точки зрения, идее — возможности передачи содержательной информации через телесные ощущения. С точки зрения нейрофизиологии этот эксперимент довольно понятен и призван скорее проверить качество работы созданных нами электродов и электроники. Кроме того, мы хотели продемонстрировать концепцию объединения естественного и искусственного интеллекта. В планах у нас — гораздо более сложные и интересные идеи по взаимодействию ИИ и мозга», — рассказывает Василий Попков, руководитель лаборатории разработки инвазивных нейроинтерфейсов Института искусственного интеллекта МГУ.
Профессор МГУ Михаил Лебедев считает эксперимент важным шагом к решению глобального вопроса: сможет ли человечество гармонично сосуществовать с ИИ? По его словам, в будущем ИИ и естественный интеллект будут дополнять друг друга, причем ИИ возьмет на себя обработку больших массивов информации, а человеческий мозг сосредоточится на творческих и интуитивных задачах.
Институт ИИ МГУ на международном симпозиуме Human Glycome Project 2024
Научные сотрудники Лаборатории «ИИ в биоинформатике и медицине» Анна Тимощук и Анна Сопленкова представили постерные доклады, посвящённые изучению генетического контроля N-гликозилирования, на международном симпозиуме Human Glycome Project Meeting, который проходил с 24 по 26 октября в Сплите, Хорватия.
Изучение генетического контроля гликозилирования — ферментативного присоединения углеводного остатка к белку — является фундаментально важным для решения задач диагностики, предсказания, профилактики и лечения заболеваний человека. В 2012 г. Национальная академия наук США представила доклад о необходимости полномасштабного изучения гликома, так как гликаны напрямую вовлечены в патогенез практически всех известных заболеваний.
«В самом распространенном методе исследования генетического контроля — полногеномном исследовании ассоциаций — определяющую роль часто играет размер выборки. Измерение профиля N-гликозилирования для новых образцов является трудоемким и дорогим процессом. Представленный на симпозиуме проект позволяет увеличить размер выборки для исследований генетического контроля N-гликозилирования иммуноглобулина G с помощью методов машинного обучения, без необходимости профилирования новых образцов. Кроме того, машинное обучение активно внедряется в исследования генетических ассоциаций, например, с помощью больших языковых моделей можно приоритизировать гены внутри участков генома, ассоциированных с тем или иным признаком.» — комментирует Анна Сопленкова.
В рамках симпозиума удалось обсудить с европейскими коллегами текущие проекты, а также дальнейшие планы совместных исследований.
AI Autumn School 2024
В октябре прошла Осенняя школа по искусственному интеллекту и вычислительной оптимизации в рамках ASCOMP 2024, собравшая 60 студентов, аспирантов и молодых исследователей из Москвы, Санкт-Петербурга, Сириуса и Иннополиса.
В рамках Школы участники прошли мини-курсы по машинному обучению с использованием инновационных алгоритмов SGD, выпуклой онлайн-оптимизации и её неожиданным применениям, трансформаторам в компьютерном зрении и табличному глубокому обучению.
Особое внимание уделялось представлению научных исследований на стендовой сессии, 26 участников представили свои постеры.
Организаторами ASCOMP 2024 выступили Университет Иннополис, Институт искусственного интеллекта МГУ и МЦМУ «Математический институт им. В.А. Стеклова Российской академии наук».
Смотрите в ролике как прошла AI Autumn School и до встречи в 2025 году!
Fall into ML 2024
25–26 октября в Москве прошла ежегодная конференция Fall into ML 2024 для студентов, аспирантов и исследователей в области искусственного интеллекта.
Институт ИИ МГУ в этом году представили научные сотрудники лаборатории «Интеллектуальный анализ видео» Анастасия Анциферова, Екатерина Шумицкая и Александр Гущин, которые выступили на постерной секции с двумя докладами о новых методах оценки устойчивости моделей оценки качества видео.
- IOI: Invisible One-Iteration Adversarial Attack on No-Reference Image- and Video-Quality Metrics (ICML 2024)
- Comparing the Robustness of Modern No-Reference Image- and Video-Quality Metrics to Adversarial Attacks (AAAI 2024)
Все постеры и материалы выступлений на сайте конференции.
Институт ИИ МГУ на ECCV 2024
European Conference on Computer Vision (ECCV) — главная конференция Европейской ассоциации компьютерного зрения (ECVA). Она собирает вместе представителей науки и индустрии с 1990 года.
На 18-й Европейской конференции по компьютерному зрению в Милане Институт ИИ МГУ представил Андрей Москаленко, младший научный сотрудник лаборатории «Интеллектуальный анализ видео».
В рамках Workshop of Advances in Image Manipulation (ECCV AIM) были представлены три статьи, посвященные проведенным лабораторией соревнованиям.
- Compressed Video Quality Assessment Challenge — посвящен разработке новых метрик нейросетевых метрик оценки качества видео. В соревновании приняли участие 14 команд, лучший результат показала команда команда Tencent и Guangzhou University, второе место — команда Shanghai Jiao Tong University, третье — совместная команда Fudan University и University of Texas at Austin.
- Video Super-Resolution Quality Assessment Challenge — посвящен задаче создания метрики качества алгоритмов повышения разрешений, что особенно актуально для 8К телевизоров и планшетов ближайшего будущего. В соревновании принято участие 16 команд, лучший результат показала команда компаний ByteDance, второе место — команда Tencent и Guangzhou University третье — Shanghai Jiao Tong University.
- Video Saliency Prediction Challenge — посвящен алгоритмам предсказания карт внимания в видео, которые крайне актуальны для современного кинематографа, маркетинга и создания новых алгоритмов сжатия и обработки видео. В соревновании принято участие 13 команд, лучший результат показала команда компаний ByteDance и University of Rochester, второе место — команда Shenzhen University и Guangdong Key Laboratory of Intelligent Information Processing третье — STMicrolectronics (Италия), University of Catania и Quintic AI (США).
Руководитель лаборатории Ватолин Дмитрий Сергеевич вошел в орг.комитет семинара.
Лекция Мирко Фарина
Институт ИИ МГУ приглашает на лекцию проф. Мирко Фарина, руководителя Лаборатории взаимодействия человека и машины в Институте цифровой экономики и искусственных систем (IDEAS) в Сямэне (Китай), созданного при участии МГУ имени М.В.Ломоносова.
Тема лекции: «Ethical considerations and policy interventions concerning the impact of generative AI tools in the economy and in society»
Искусственный интеллект играет все более значимую роль как в нашей повседневной жизни, так и в развитии мировой экономики в целом. В лекции будет рассмотрено применение генеративных моделей ИИ, таких как ChatGPT, которые основаны на машинном обучении (ML) и применяются для обработки естественного языка (NLP), с точки зрения их потенциального положительного влияния на экономику. Слушателям будет представлена серия этических, социологических и политических размышлений о рисках некритического применения этих инструментов в обществе. В конце лекции будут представлены возможные решения, которые помогут смягчить потенциальные негативные последствия этой технологии.
Лекции профессора Фарина Мирко представляют собой междисциплинарное исследование рисков и перспектив развития технологий ИИ, вызывающее интерес у специалистов различных областей науки по всему миру.
Когда: 11 октября, 17:00–18:00
Где: Ломоносовский корпус МГУ, ауд. Д1
Будет доступна прямая трансляция по ссылке.
Конференция по видеотехнологиям VideoTech 2024
В этом году в VideoTech от Института ИИ МГУ принял участие Дмитрий Ватолин, руководитель лаборатории «Интеллектуального анализа видео» с докладом, посвященным проблемам измерения качества сжатых видеопотоков новыми нейросетевыми метриками, а также исследованиям устойчивости стандарта сжатия JPEG AI к состязательным атакам.
«Наша лаборатория поддерживает один из крупнейших во всем мире в академической среде датасетов субъективных оценок качества видео, а также три бенчмарка метрик оценки качества сжатого видео. За последний год нам удалось расширить бенчмарк корреляции метрик, достаточно значительно расширить бенчмарк устойчивости метрик и выпустить бенчмарк защит метрик от состязательных атак, результаты которого позволят, в том числе, анализировать вероятность использования в кодеках и методах обработки видео явного или неявного тюнинга под определенные метрики.
Также нам удалось выявить ситуации неустойчивого поведения JPEG AI на некоторых изображениях и проаназировать его устойчивость в сравнении с несколькими другими нейросетевыми алгоритмами сжатия изображений. Это позволит улучшить стабильность работы и уменьшить вероятность появления артефактов в библиотеках, реализующих стандарт в ближайшие годы. Релиз стандарта запланирован на осень этого года.»
Узнать подробнее о технологиях сжатия видеоданных, а также о применении искусственного интеллекта для улучшения качества видео и повышения эффективности сжатия можно в подкасте с участием Дмитрия Ватолина.
В новом выпуске авторской программы Марины Аствацатурян «Медицина в контексте» продолжим изучать перспективы нейроинтерфейсов — систем для обмена информацией между мозгом человека и электронным устройством
Гость программы Василий Андреевич Попков, кандидат биологических наук, заведующий лабораторией Института искусственного интеллекта МГУ им М.В. Ломоносова, расскажет о гуманитарных и этических вопросах развития и применения нейроинтерфейсов в медицине и других сферах науки.
Выпуск программы можно посмотреть по ссылке.
Ученые МГУ провели ежегодное сравнение видеокодеков
Лаборатория «Компьютерной Графики и Мультимедиа» ВМК МГУ совместно с лабораторией «Интеллектуального анализа видео» Института ИИ МГУ провели ежегодное исследование, в котором представлено сравнение аппаратных видеокодеков с акцентом на качество видео. Всего в сравнении приняло участие 17 кодеков от компаний Intel, Nvidia, AMD, Tencent, ByteDance и других, на 7 платформах (CPU, различные GPU, различные ASIC, FPGA).
В сравнении использованы не только общепринятые объективные метрики VMAF, SSIM, PSNR, но также получено более 500.000 оценок людей, что позволяет учесть артефакты, пропускаемые метриками и более точно ранжировать кодеки. Также нами было построено более 9000 графиков, которые представляют собой бесценный материал для анализа и совершенствования к сравнению следующего года.
«Почти во всех номинациях коммерческие кодеки ожидаемо оказались заметно лучше open-source и freeware решений, активно используемых российскими компаниями. В большинстве номинаций лучшие результаты показали китайские компании Tencent (WeChat) и ByteDance (TikTok), которые активно вкладываются в развитие технологий по многим направлениям, включая сжатие видео.» — Дмитрий Ватолин, руководитель лаборатории «Интеллектуального анализа видео» Института ИИ МГУ.
Исследование может быть полезным при выборе видеокодеков наилучшего качества, а также помочь разработчикам повышать качество и увеличивать степень сжатия своих решений.
Ученые МГУ обнаружили белковые биомаркеры неврологических заболеваний
Ученые из лаборатории искусственного интеллекта в биоинформатике и медицине Института искусственного интеллекта МГУ (t.me/iai_msu) в коллаборации с консорциумом SCALLOP идентифицировали новые генетические варианты, ассоциированные с уровнями циркулирующих белковых биомаркеров неврологических заболеваний, и установили связь этих белков с развитием различных поведенческих фенотипов, включая психические заболевания, употребление табака и алкоголя, уровень интеллекта и другое. Результаты исследования опубликованы в журнале Nature Human Behavior.
В рамках исследования был проведен полногеномный анализ генетических ассоциаций для 184 циркулирующих белковых биомаркеров неврологических заболеваний на когорте, включающей более 12.5 тысяч участников. Помимо этого, был проведен анализ менделевской рандомизации для поиска ассоциаций между данными биомаркерами и фенотипами, связанными с неврологией.
В ходе работы учёными были выявлены 13 новых потенциальных мишеней для лечения заболеваний, связанных с неврологическими нарушениями, в частности, шизофрении, болезни Альцгеймера и алкоголизма.
Данная работа предоставляет исследователям и медикам обширный протеомный и геномный ресурс для биомедицинских исследований, открывающий новые возможности для понимания и лечения неврологических заболеваний.
Регистрация на осеннюю школу по ИИ и вычислительной оптимизации ASCOMP 2024
7–9 октября Институт ИИ МГУ совместно с Университетом Иннополис и Математическим институтом им. В.А. Стеклова Российской академии наук проведёт бесплатное мероприятие для студентов, аспирантов и молодых исследователей.
Спикеры — ведущие учёные в области ИИ из Университета ИИ Мохамеда бен Заида, Научно-технологического университета имени короля Абдаллы, Яндекса и Центра ИИ МТС.
В программе мини-курсы по темам:
- Машинное обучение с помощью инновационных алгоритмов SGD
- Выпуклая онлайн-оптимизация и её неожиданные применения
- Трансформеры в компьютерном зрении
- Табличное глубокое обучение
Подать заявку можно до 1 сентября на сайте: ascomp.org
Выпускной AI Masters 2024
28 июня состоялось торжественное вручение дипломов и поздравление выпускников AI Masters, образовательной программы Института ИИ МГУ.
В этом году успешно окончили программу 36 выпускников, из них 21 — по направлению Data Science (DS), а 15 — Business Intelligence (BI).
За два года обучения студенты программы освоили в среднем 18 дисциплин в области наук о данных от ведущих преподавателей лучших ВУЗов страны.
Мы рады поздравить ребят с успешным окончанием учебы, а нас с очередным выпуском. Уверены, что полученные навыки и знания помогут нашим выпускникам достичь новых высот в научной и профессиональной деятельности!
«Интересно, что программу приходят не только студенты, но и уже сложившиеся специалисты. В среднем 20% поступающих уже хорошо знакомы с машинным обучением. Большинство учится после работы или основной учебы. Это огромная нагрузка и до конца обучения доходят только самые замотивированные.» — Юрий Дорн, руководитель образовательной программы AI Masters.
Международный саммит «Цифровая гуманитаристика на современном этапе: опыт, проблемы, перспективы»
Продолжая традиции российско-китайского сотрудничества, Институт ИИ МГУ совместно с Институтом русского языка Хэйлунцзянского университета провёл первое мероприятие в рамках недавно подписанного соглашения о сотрудничестве.
14–16 июня 2024 г. в Харбине прошёл первый международный научный саммит по цифровой гуманитаристике. В очном формате участниками саммита стали 125 представителей из ведущих научных и образовательных центров России, Китая, Сербии, Бразилии, Казахстана и Таиланда.
В рамках деловой программы было представлено 5 пленарных заседаний и 4 секции по направлениям искусственный интеллект и машинное обучение, структуры данных и алгоритмы, гуманитарная информатика, нейропедагогика, нейроэстетика, NLP и научные вычисления в социальных и гуманитарных науках.
Институт ИИ МГУ был представлен докладами руководителя лаборатории «Машинное обучение и семантический анализ» проф. Воронцова К.В., проф. Карабулатовой И.С. и м.н.с. лаборатории Околышева Д.А.
На заключительном пленарном заседании было принято решение о создании Международного альянса по цифровым гуманитарным исследованиям.
ОТКРЫТЫЕ ВАКАНСИИ
В проект по разработке нейроинтерфейсов, под научным руководством Михаила Лебедева требуются специалисты. Михаил Лебедев самый цитируемый российский ученый в данной области и многие его ученики работают в том числе в Neuralink Илона Маска.
В проекте разрабатываются как неинвазивные нейроинтерфейсы, так и инвазивные, имплантируемые решения. Неинвазивные проекты связаны с разработкой алгоритмов анализа данных ЭЭГ и ЭМГ в условиях применения терапевтической нейростимуляции.
Инвазивный проект нацелен на разработку решения для интеграции искусственного и естественного интеллекта.
В проекте есть вакансии для:
- математиков, связанные с разработкой новых алгоритмов;
- аналитиков данных, связанные с применением готовых алгоритмов в рамках проектов;
- инженеров, связанные с разработкой имплантируемых электродов, гибкой электроники, интеграции внешних устройств с имплантируемыми решениями;
- биологов, связанные с поведенческими и электрофизиологическими опытами на животных.
Проект реализуется на базе Института ИИ МГУ.
Мы рассмотрим специалистов любого уровня от опытных групп лидеров, до молодых ученых. Зарплата рыночная, публикации в ведущих журналах. Предпочтительна полная очная занятость, но условия обсуждаемы.
Заинтересованных просим откликнуться, заполнив форму по ссылке.
Стали известны имена победителей премии «Гравитация»
31 мая состоялись церемония награждения победителей и лауреатов международной университетской премии в области искусственного интеллекта и больших данных «Гравитация».
В этом году на Премию было подано более 170 заявок от 104 организаций из 41 региона страны.
Институт ИИ МГУ стал победителем в номинации «Алгоритмы и программные решения в области ИИ и больших данных» с проектом «Маленькая большая языковая модель для обработки научных текстов SciRus-Tiny (MSU) & бенчмарк ruSciBench». Проект направлен на разработку математических методов машинного обучения для обработки текстовой научной информации большого объема.
Проект реализуется при поддержке Междисциплинарной научно-образовательной школы МГУ «Математические методы анализа сложных систем».
«Большие языковые модели для поиска и анализа научных текстов могут быть и не такими большими, как модели общего назначения. У нашей модели «всего» 23 миллиона параметров. Это очень мало! Тем не менее, этого вполне достаточно для кросс-языкового поиска научных публикаций. Это когда у вас есть статья на русском языке, а вы хотите найти все похожие публикации на английском. Или наоборот. Чтобы измерять качество модели на русскоязычном контенте, мы разработали собственный бенчмарк, который тоже выложили в открытый доступ. Научная электронная библиотека eLibrary.ru уже внедрила нашу модель в свои поисковые сервисы, и качество поиска превзошло все ожидания.»
— руководитель лаборатории «Машинного обучения и семантического анализа» Института ИИ МГУ Константин Воронцов.
Неделя нейротехнологий и когнитивных наук
В Москве с 20 по 24 мая проходила научно-образовательная «Неделя нейротехнологий и когнитивных наук», которая знакомит широкую аудиторию с последними исследованиями и достижениями в области нейротехнологий.
В программе второго о применении нейроинтерфейсов в медицине выступил Василий Попков, заведующий лабораторией разработки инвазивных нейроинтерфейсов Института ИИ МГУ.
Запись доклада можно посмотреть по ссылке.
Регистрация на летнюю школу
Ежегодно Институт ИИ МГУ проводит Традиционную Молодежную Летнюю Школу «Управление, информация и оптимизация» им. Б.Т. Поляка, на которой читают курсы ведущие ученые в области оптимизации, оптимального управления, статистики и машинного обучения.
Летняя Школа — это возможность познакомиться не только с единомышленниками, но и с перспективными темами для исследований, представить свой научный труд на постерной сессии и найти научного руководителя.
23 июля — 3 августа, г. Новосибирск, НГУ
Основные тематические направления:
- Оптимальное управление
- Дискретная и непрерывная оптимизация
- Статистика
- Машинное обучение и приложения
- Математическое моделирование
Заявки принимаются на сайте Летней Школы до 10 июня.
Открыт набор на программу AI Masters от Института ИИ МГУ
AI Masters — это бесплатная вечерняя образовательная программа в области наук о данных от Института ИИ МГУ.
Преподаватели — ведущие специалисты по Data Science из МГУ, МФТИ, ВШЭ, Skoltech, Yandex, МТС и других крупных технологических компаний.
Гибкий набор курсов предполагает обязательные и по выбору (всего более 30), в том числе:
- Машинное обучение
- Computer Vision & Video Processing
- Big Data and Data Engineering
- Генеративные модели
- Natural Language Processing
- Reinforcement Learning
Программа соответствует магистерским в области машинного обучения и бизнес-аналитики от ведущих университетов мира, продолжительность обучения — 2 года.
Подробнее на официальном сайте программы.
Мультиязычную нейросеть МГУ для обработки научных текстов внедрили в научные библиотеки
Научная электронная библиотека elibrary.ru открыла для пользователей портала поиск близких по тематике публикаций с применением нейросети SciRus-tiny, разработанной в Институте ИИ МГУ при поддержке научно-образовательной школы МГУ для анализа научных текстов.
«Российские ученые теперь могут с помощью нейросетевой модели МГУ пополнять коллекции своих статей. Традиционно поиск в базах данных научной информации производится путем указания ключевых слов. Количество найденных документов и их состав сильно зависят от того, насколько точно подобраны ключевые слова. Нейросетевой поиск позволяет задать в качестве условия запроса аннотацию, полный текст научной статьи или даже подборки статей по интересующей тематике. Система автоматически подберет документы, максимально близкие по своей тематической направленности» — прокомментировал руководитель междисциплинарной группы проекта, заведующий кафедрой физического факультета МГУ академик Алексей Хохлов.
Напомним, что в декабре 2023 года сотрудники лаборатории машинного обучения и семантического анализа Института ИИ МГУ при поддержке портала eLibrary обучили и опубликовали в открытом доступе нейронную сеть для получения семантических векторных представлений (эмбеддингов) научных текстов на русском языке SciRus-tiny. С ее помощью можно решать множество прикладных задач, начиная с поиска и классификации и заканчивая извлечением научных терминов.
Цикл встреч с российскими профессорами в Харбине
В рамках проекта Русского клуба в Харбине и Ассоциации российских ученых в Китае с лекцией выступила профессор Карабулатова Ирина Советовна, ведущий научный сотрудник лаборатории «Машинного обучения и семантического анализа» Института ИИ МГУ.
Лекция была посвящена такому направлению в науке как цифровая гуманитаристика:
- Почему лингвистика была незаслуженно вытеснена из точных наук?
- Как музыка, литературоведение и лингвистика связаны с математикой?
- В чем заключаются противоречия между западными и восточными взглядами на искусственный интеллект?
- Почему Chat-GPT открывает новые грани в этике представления информации?
- Kак сжатие смыслов при подаче информации влияет на pаботy мoзга? Kак это влияет на речемыслительные механизмы и пcиxичecкоe cостояние целовекa?
- Cуществуют ли риски, связанные с ИИ для гуманитарных наyк?
Узнать ответы на эти и многие другие вопросы также можно будет на Международном Харбинском научном саммите по цифровой гуманитаристике, который будет проходить в Китае 14–16 июня 2024 г.
Организаторами саммита выступают: Институт русского языка Хэйлунцзянского университета, Институт искусственного интеллекта МГУ им. М.В. Ломоносова, Ассоциация российских ученых в Китае и другие организации России и Китая.
#новости_института
Статья сотрудников лаборатории «Интеллектуальный анализ видео» Екатерины Шумицкой, Анастасии Анциферовой и Дмитрия Ватолина принята на A* конференцию ICML 2024.
Это уже вторая A* статья лаборатории в 2024 году!
В статье «IOI: Invisible One-Iteration Adversarial Attack on No-Reference Image- and Video-Quality Metrics» предложен метод быстрой и незаметной атаки на безреференсные метрики качества видео, который превосходит существующие методы по визуальному качеству и скорости работы, что было показано как теоретически, так и экспериментально.
Данный метод позволит проводить более глубокий анализ уязвимости метрик качества видео, что является чрезвычайно важной задачей в публичных бенчмарках и системах контроля качества видео. Препринт статьи доступен по ссылке.
Итоги конференции Data Fusion 2024
17–18 апреля в технологическом кластере «Ломоносов» прошла четвертая конференция, посвященная работе с данными и развитию технологий искусственного интеллекта Data Fusion, партнером которой выступает Институт ИИ МГУ.
В этом году конференцию открыла пленарная сессия о роли России в многополярности технологического мира. В ней приняли участие премьер-министр России Михаил Мишустин, вице-премьер Дмитрий Чернышенко, президент-председатель правления ВТБ Андрей Костин, первый заместитель председателя Банка России Ольга Скоробогатова и представители крупного технологического бизнеса.
В 2024 году конференция собрала более 3 тыс. очных участников и более 3 млн просмотров трансляции.
В деловой программе приняли участие более 250 спикеров — ведущие эксперты крупнейших компаний, известные ученые и представители государства.
На сайте мероприятия доступно 70 часов актуального контента.
В 11 треках прошло 60 сессий, из которых 9 с участием сотрудников Института ИИ МГУ. В записи можно посмотреть:
- ключевую дискуссию «Нейротехнологии — шаг в будущее»,
- пленарную сессию «Интеллект больших генеративных моделей — возможно ли рождение мышления из языка»
- доклад Воронцова К.В. «Машина, будь человеком»
- ключевая дискуссию «Научные достижения в области ИИ и точки сближения бизнеса, науки, государства: синергия или соперничество»
В рамках конференции также объявили лауреатов кросс-отраслевой премии в области технологий работы с большими данными Data Fusion Awards 2024. Награду получили лучшие проекты, которые предоставили компании, госструктуры и образовательные организации.
Институт ИИ МГУ на семинаре по доверенному искусственному интеллекту WAIT
На семинаре WAIT, который проходил в рамках конференции AINL 2024 (Artificial Intelligence and Natural Language), были представлены результаты исследования лаборатории «Интеллектуальный анализ видео» Института ИИ МГУ по улучшению показателей качества видео.
В этом году конференция прошла в г. Алматы 24–26 апреля. Семинар WAIT был посвящен вопросам доверенности и безопасности искусственного интеллекта.
Виктория Леоненкова выступила с докладом «Ti-Patch: Tiled Physical Adversarial Patch for no-reference video quality metrics», представляя исследование под руководством руководителя лаборатории Дмитрия Ватолина, Анастасии Анциферовой и Екатерины Шумитской, научных сотрудников лаборатории.
«В докладе были представлены результаты решения задачи по увеличению эффективности физической состязательной атаки на нейросетевую модель, когда специальное изображение создается таким образом, чтобы атака сохранялась даже после печати и последующей съемки, т.е. в ситуации, когда мы не можем контролировать размер, расположение и угол этого изображения. Такие атаки сложнее «обычных» атак с прямой модификацией изображения, но имеют важное практическое значение.»
Приглашаем принять участие в конференции по анализу данных Data Fusion 2024
17–18 апреля в технологическом кластере «Ломоносов» состоится четвертая конференция, посвященная работе с данными и развитию технологий искусственного интеллекта Data Fusion, партнером которой выступает Институт ИИ МГУ.
Мероприятие пройдет в Москве и соберет ведущих экспертов, практиков, известных ученых, исследователей, представителей государства и бизнеса.
В программе конференции:
- 17 апреля — практические кейсы в области искусственного интеллекта и научные доклады по анализу данных и машинному обучению. Ученые и эксперты ведущих компаний в области ИИ и работы с данными поделятся опытом как в различных областях машинного обучения, так и в направлениях, которые находятся на стыке ИИ и науки: физики, нейробиологии, медицины. Доклады охватят широкий круг тем — от развития больших генеративных моделей, NLP, рекомендательных систем, компьютерного зрения до вопросов MLOps и математической оптимизации.
- 18 апреля — представители государства и бизнеса обсудят вопросы развития и роли данных в цифровой трансформации бизнеса и общества, перспективы кооперации в условиях развития технологий. Эксперты также расскажут о нестандартных кейсах применения генеративного ИИ, получении собственных больших генеративных моделей, лучших практиках управления данными, развитии беспилотного транспорта, вопросах инфраструктуры и безопасности для ИИ.
Регистрация на конференцию по ссылке.
Более подробная информация о конференции доступна на сайте Data Fusion.
ICDSP 2024
С 23 по 25 февраля в Китае (г. Ханчжоу) проходила 8-я Международная конференция по цифровой обработке сигналов (ICDSP — International Conference on Digital Signal Processing).
В этом году на конференции была представлена статья «A New HDR Video Reconstruction Benchmark and Metric» с результатами исследований по восстановлению широкого динамического диапазона видео, работа над которой проводилась под руководством Дмитрия Ватолина, руководителя лаборатории «Интеллектуальный анализ видео» Института ИИ МГУ и Николая Сафонова, научного сотрудника лаборатории.
Бенчмарк автора на данный момент единственный в задаче на сайте PapersWithCode и способствует улучшению рейтингования алгоритмов с открытым исходным кодом.
Докладчик — Михаил Воронин, студент 1 курса магистратуры ВМК МГУ, в рамках сессии получил оценку Best Presentation Award.
Поздравляем коллег с успешным представлением научных достижений и наградой за качество презентации!
Школа-конференция «Информационные технологии и системы. Биоинформатика»
С 15 по 19 февраля в учебном центре «Вороново» прошла межвузовская научная школа-конференция, в рамках которой ведущие специалисты и талантливые молодые учёные из ВШЭ, МГУ, Физтеха, ИППИ, Сколтеха и других организаций представили результаты исследований по биоинформатике.
В этом году Института ИИ МГУ был представлен на Школе научными сотрудниками лаборатории «Искусственный интеллект в биоинформатике и медицине»:
- Анна Сопленкова, младший научный сотрудник, выступила с докладом «Генетический контроль популяционного разнообразия N-гликозилирования иммуноглобулина G человека».
- Александр Гавриленко, младший научный сотрудник, выступил с докладом: «Поиск ДНК и РНК связывающих белков с использованием методов глубокого обучения».
- Екатерина Маркелова, младший научный сотрудник, выступила с докладом «Предсказание изменений экспрессии генов в единичных клетках в ответ на пертурбации с помощью методов глубокого обучения».
- Кристина Мотузенко, студент магистратуры АДБМ ФКН НИУ ВШЭ, выполняющая дипломную работу в лаборатории, выступила с докладом «Внутригенный эпистаз и языковые модели белков».
- Василий Раменский, руководитель лаборатории, рассказал участникам Школы об основных направлениях исследовательской работы и текущих научных проектах лаборатории.
В МГУ работают над созданием нейроинтерфейсов, подавляющих фантомные боли
Научные сотрудники проекта «Фундаментальные и прикладные нейротехнологии» Института ИИ МГУ получили результаты исследования, которые в будущем будут использованы для создания нейроинтерфейсов с целью подавления фантомных болей. Выводы ученых опубликованы в международном журнале Cerebral Cortex.
Нейростимуляция — действенный и альтернативный фармакологическому подходу способ лечения. Исследование раскрывает, что происходит в мозге при нейростимуляции, а также вероятность измерения этого эффекта посредством записи электроэнцефалографии (ЭЭГ).
Учеными МГУ были собраны и проанализированы данные высокоплотной ЭЭГ у пациентов с фантомными болями. Для подавления боли применялась стимуляция периферических нервов (инвазивная и неинвазивная), а также инвазивная стимуляция спинного мозга.
В результате анализа данных ЭЭГ при стимуляции, у всех пациентов были выявлены изменения пространственно-спектральных характеристик ЭЭГ в тета-, альфа- и бета-диапазонах, причем эти эффекты индивидуальны для каждого человека, что может соотноситься с различиями в симптоматике и режимах применяемой стимуляции.
Полученные результаты будут использованы учеными для создания двунаправленных нейроинтерфейсов с целью подавления фантомных болей. Такие интерфейсы в будущем смогут применяться как в медицинских учреждениях, так и пациентом на дому.
Подробнее — на сайте.
Форум будущих технологий
В Москве завершил свою работу второй Форум будущих технологий — ежегодное флагманское событие, на котором представляют технологии и инновационные научные разработки, определяющие вектор развития отраслей экономики на ближайшие годы. В этом году мероприятие было посвящено технологиям будущего в области медицины.
От Института ИИ МГУ спикерами сессии «Зачем мозгу подключаться к компьютеру?» стали Михаил Лебедев, руководитель проекта «Фундаментальные и прикладные нейротехнологии» и Василий Попков, руководитель научной группы «Инвазивных нейроинтерфейсов».
- Какие наиболее частые области применения интерфейса «мозг — компьютер» известны сегодня и каковы перспективы в ближайшем будущем?
- Каковы различия и в чем интерес крупного российского и зарубежного бизнеса?
- Что препятствует широкому внедрению интерфейса «мозг — компьютер»?
Эти и другие вопросы обсудили спикеры в рамках сессии, запись можно посмотреть по ссылке.
День российской науки в МГУ: «Ученые — в школы»!
В рамках акции «Ученые — в школы», проходящей под эгидой Десятилетия науки и технологий в России, более 1500 российских ученых прочитают лекции в школах по всей России.
8 февраля в офисе VK ученые из МГУ, РАН и Сколтеха расскажут, как устроены нейроимпланты, какое киберпанк-будущее ожидает человечество, как собрать снежинку и запрограммировать живую материю, а также о том, как проходят будни космических штурманов.
На странице сообщества МГУ ВКонтакте можно будет услышать также выступление Василия Попкова, руководителя группы разработки инвазивных нейроинтерфейсов Института ИИ МГУ.
Трансляция начнётся в 11:00 и доступна по ссылке.
На острие науки и техники. В Москве прошёл отраслевой форум «Нейротехнологии России 2023»
Спикерами и гостями деловой программы стали ведущие российские разработчики, инженеры, ученые и врачи. Повестка затронула вопросы развития искусственного интеллекта, нейротехнологий и нейроинтерфейсов, были представлены актуальные данные о состоянии развития этих направлений в России и мире.
Василий Попков, руководитель научной группы «Инвазивных нейроинтерфейсов» Института ИИ МГУ принял участие в сессии «Береги одежду с нову, а науку с молоду» Как видят развитие нейронаук молодые ученые? В рамках Форума «Нейротехнологии России 2023».
Трансляцию можно посмотреть по ссылке.
Также можно познакомиться с последними разработками в сфере нейротехнологий, в частности, с новинками в области нейрореабилитации, на виртуальной выставке, которая сопровождала форум. Выставка демонстрирует передовые технологические достижения, ключевые проекты и продукцию отечественного рынка нейротехнологий.
Научные сотрудники лаборатории «Машинного обучения и семантического анализа» Института ИИ МГУ создали нейросеть, которая станет основой поисковой системы для ученых
Разработка позволяет получать семантические векторные представления (эмбеддинги) научных текстов на русском языке для решения таких прикладных задач как поиск и классификация научных данных, а также извлечение из массивов текстов определенных терминов. Нейросеть и набор тестовых задач (бенчмарк) опубликованы в открытом доступе.
NeurIPS 2023
С 10 по 16 декабря в Новом Орлеане проходила 37-я конференция по машинному обучению и нейровычислениям NeurIPS — 2023.
Анастасия Анциферова, старший научный сотрудник лаборатории «Интеллектуальный анализ видео» Института ИИ МГУ выступила на постерной секции в рамках конференции, представив достижения и обогатив лабораторию полезными контактами для дальнейшего взаимодействия.
Международны форум геномных и биомедицинских технологий
Научные сотрудники лаборатории «ИИ в биоинформатике и медицине» Института ИИ МГУ приняли участие в Международном форуме геномных и биомедицинских технологий, который проходил в начале декабря, г. Сургут.
В рамках Форума был проведёт симпозиум «Искусственный интеллект и трансляционная медицина: фундаментальные исследования и клиническая практика», соорганизаторами которого выступил Институт ИИ МГУ.
Эта актуальная тема впервые вынесена на отдельное обсуждение форума, вызвала большой интерес и дискуссию научного сообщества. В докладах участников был представлен опыт применения технологий искусственного интеллекта к диагностике заболеваний головного мозга, кардиологических, онкологических, аутоиммунных заболеваний, болезней суставов.
- Содержательный доклад на научной площадке представил Василий Раменский, руководитель лаборатории «ИИ в биоинформатике и медицине» Института ИИ МГУ. Василий Евгеньевич подробно раскрыл тему применения искусственного интеллекта для предсказания клинического и молекулярного эффекта вариантов генома.
- В рамках симпозиума Юрий Вяткин, старший научный сотрудник лаборатории, выступил с докладом «Приложения искусственного интеллекта в задачах анализа данных молекулярной онкологии и медицинской генетики».
- Екатерина Васюченко, м.н.с. — «Поиск молекулярных мишеней новых лекарственных препаратов с помощью искусственного интеллекта».
- Александр Минин, м.н.с. — «Применение искусственного интеллекта и результатов молекулярно-генетического тестирования для диагностики дефектов костей и суставов».
Иннополис.Наука
18–20 декабря проходил семинар «Иннополис.Наука».
Учёные и исследователи из МГУ, ВШЭ, Яндекса и Центрального экономико-математического института РАН рассказывают о нейросетевых артефактах будущего, многоагентных системах и генеративных нейросетях.
В рамках семинара Дмитрий Ватолин, руководитель лаборатории «Интеллектуальный анализ видео» Института ИИ МГУ прочёл лекцию «Состязательные атаки на метрики качества и прекрасные нейросетевые артефакты ближайшего будущего».
Искусственный интеллект: от решений к суверенитету
В рамках Х Конгресса «Инновационная практика: наука плюс бизнес» эксперты обсудили стратегию развития искусственного интеллекта в России. На круглом столе «Искусственный интеллект как стратегический компонент экономического суверенитета России» собрались представители науки, индустрии и компаний, активно внедряющих современные технологии.
В дискуссии также принял участие Константин Воронцов, руководитель лаборатории «Машинное обучение и семантический анализ» Института ИИ МГУ.
Подробнее: innopraktika.ru
Международная молодежная научная конференция «Технологии ИИ в науке и образовании»
С 8 по 9 декабря 2023 года в МГУ прошла Международная молодежная научная конференция «Технологии ИИ в науке и образовании».
К работе конференции присоединилось более 350 молодых исследователей из 40 регионов нашей страны и зарубежных стран. С лекциями о достижениях в сфере ИИ выступили ведущие ученые, руководители научных групп Института искусственного интеллекта МГУ.
- Константин Воронцов, руководитель лаборатории «Машинное обучение и семантический анализ» Института ИИ МГУ выступил с лекцией «Модели векторизации текста для семантического поиска и формализации гуманитарных знаний», а также провел активную дискуссию с участниками, обсудив проблемы и перспективы применения цифровых решений в преподавании в школе.
- Василий Раменский, руководитель лаборатории «ИИ в биоинформатике и медицине» Института ИИ МГУ выступил с лекцией «Искусственный интеллект в задаче предсказания эффекта вариантов генома человека».
- В рамках третьей лекции Дмитрий Ватолин, руководитель лаборатории «Интеллектуальный анализ видео» Института ИИ МГУ и Анастасия Анциферова, старший научный сотрудник лаборатории обсудили «Устойчивость современных методов оценки качества видео к состязательным атакам».
Посмотреть запись выступлений можно по ссылке.
Дилеммы развития искусственного интеллекта
Константин Воронцов, руководитель лаборатории «Машинное обучение и семантический анализ» Института ИИ МГУ, выступил на площадке НИ ТГУ с лекцией в рамках «Школы прикладного анализа данных».
«Дилеммы развития искусственного интеллекта: чем заниматься — создавать возможности или устранять угрозы?»
Посмотреть запись лекции можно по ссылке.
Конгресс молодых ученых
С 28 по 30 ноября в парке науки и искусств «Сириус» проходил Конгресс молодых ученых — ключевое ежегодное событие Десятилетия науки и технологий в России.
В рамках сессии «Российская сцена науки и технологий в поисках новых героев» обсудили актуальные задачи по наполнению информационного пространства именами тех, кто является драйверами инновационного развития нашей страны.
На сегодняшний день в России разносторонние проекты по популяризации науки становятся частью единой экосистемы, увеличивая охват аудитории и качество контента. Однако наблюдается слабая персонификация российской науки и технологий, отсутствует понятный образ героя — ученого, инженера, технологического предпринимателя.
Спикером сессии стал и Василий Попков, руководитель научной группы «Инвазивных нейроинтерфейсов» Института ИИ МГУ. В своём выступлении он поделился опытом ученых-популяризаторов науки, ограничениями и стимулами на пути к медиаактивности и трансляции научных достижений.
Выпускник МГУ Карен Симонян вошел в мировой рейтинг Топ-100 людей с наибольшим влиянием в сфере Искусственного Интеллекта по версии издания Business Insider в 2023 году
О том, как проходило профессиональное становление Карена Симоняна в студенческие годы, рассказывает его научный руководитель, руководитель лаборатории интеллектуального анализа видео Института ИИ МГУ и лаборатории компьютерной графики ВМК МГУ — Ватолин Дмитрий Сергеевич.
Читайте в статье ВКонтакте!
AI Journey
Международная конференция AI Journey «Путешествие в мир искусственного интеллекта» пройдет с 22 по 24 ноября и будет посвящена передовым разработкам в области ИИ, их роли в новых научных открытиях, развитии бизнеса и общества, а также популяризации среди молодежи.
В рамках второго дня конференции выступил Дмитрий Ватолин, руководитель лаборатории «Интеллектуальный анализ видео».
Дискуссия «Развитие R&D в компании».
Запись трансляции по ссылке.
«Молекулярная диагностика — 2023»
С 14–16 ноября проходила Международная научно-практическая конференция «Молекулярная диагностика — 2023» (MDx-2023) — ключевое событие в молекулярной диагностике и смежных направлений науки и медицины в России.
Анна Тимощук, научный сотрудник лаборатории «ИИ в биоинформатике и медицине», выступила с докладом «Полногеномное исследование ассоциаций уровней N-гликозилирования белков плазмы крови человека» в рамках секции «Омиксные технологии в генетике многофакторных заболеваний».
Программа «Доверенный искусственный интеллект» с Сириусе
С 7 по 18 ноября в Университете Сириус проходила дополнительная профессиональная программа «Доверенный искусственный интеллект», посвященная анализу, тестированию, интерпретируемости, состязательным атакам и защитам — всем аспектам, связанным с надежностью работы нейросетевых систем.
От Института ИИ МГУ преподавателями программы стали Дмитрий Ватолин, руководитель лаборатории «Интеллектуальный анализ видео», Сергей Лаврушкин и Анастасия Анциферова, старшие научные сотрудники лаборатории.
Дмитрий Сергеевич делится отзывом о большом количестве полезных докладов, и общении с коллегами, студентами образовательной программы. Учащиеся программы также приняли участие в хакатоне «Методы защиты интеллектуальных систем от атак, специфичных для технологий ИИ».
Первое место заняла команда студентов (Виктория, 3 курс и Екатерина, 5 курс, первый автор A* ICLR Tiny летом этого года), которая работает под руководством Анастасии Анциферовой.
Форум этики в сфере искусственного интеллекта
16 ноября в пресс-центре ТАСС состоялся «Форум этики в сфере искусственного интеллекта: Поколение GPT. Красные линИИ». Мероприятие стало площадкой для демонстрации лучших практик применения этики искусственного интеллекта, присоединения новых организаций к Кодексу этики в сфере ИИ и формирования актуального комплекса проектов по совершенствованию этического и нормативного регулирования ИИ.
Константин Воронцов, руководитель лаборатории «Машинное обучение и семантический анализ» Института ИИ МГУ, принял участие в секциях первого трека:
- «Применение этических принципов в работе исследовательских центров в сфере искусственного интеллекта: в чем ответственность ученых за будущее?»
Модератор — С. Наквасин (НЦРИИ) - «Образовательный форпост культурных традиций России: как взращивать новые поколения «этичных разработчиков ИИ» в эпоху социального неравенства?»
Модератор — А. Крайнов (Яндекс)
Научная группа разработки инвазивных нейроинтерфейсов Института ИИ МГУ создала первые прототипы гибких электродов для периферических нервов
Данные устройства обхватывают периферический нерв и могут как электрически стимулировать, так и считывать его активность. На данный момент учёные активно исследуют отторжение организмом данных устройств у крыс.
В будущем научная группа планирует большой блок исследований, связанный с использованием искусственного интеллекта для анализа получаемых с имплантов сигналов, а также для принятия решения о подаче стимулирующих импульсов.
Прототип представляет из себя часть нейроинтерфейса, который при дальнейшей разработке может применяться для широкого круга медицинских задач.
Наиболее близки к внедрению в клиническую практику: терапия нейропатической боли, эпилепсии, болезни Паркинсона, а также управление и очувствление протезов конечностей.
19–22 сентября в Санкт-Петербурге прошел «AI&Media Innovation Summit», организованный компанией Huawei
От Института ИИ МГУ с докладом «Artifacts of JPEG AI and neural network image compression» выступил Дмитрий Ватолин, руководитель лаборатории «Интеллектуальный анализ видео», и старший научный сотрудник Сергей Лаврушкин с докладом «Massive hacking of image/video quality metrics and a new sustainability benchmark».
Доклад по артефактам JPEG AI был назван лучшим докладом секции «CODEC AND CG&XR», а доклад по устойчивости метрик вызвал одну из наиболее активных дискуссий среди профессионального сообщества.
В саммите также приняли участие Сергей Николенко (ПОМИ РАН), Иван Оселедец (Сколтех), Алексей Наумов (ВШЭ) и другие известные ученые, работающие в области ИИ в России.
Nature Genetics: ученые МГУ открыли 120 участков генома, влияющих на диабет и липидный обмен
Уровень глюкозы в крови является важным биохимическим показателем, который связан с риском развития диабета. Он зависит не только от питания, образа жизни, но и от генетических факторов. Их удалось установить ученым из лаборатории искусственного интеллекта в биоинформатике и медицине Института искусственного интеллекта МГУ в составе международного коллектива авторов, которые провели анализ уровней глюкозы и генетических данных более 470 тысяч человек. Результаты исследования опубликованы в журнале Nature Genetics.
В результате исследования были выявлены 120 участков генома, замены в которых приводят к изменению уровня глюкозы. Ранее роль 44 участков генома в регуляции уровня глюкозы не была известна.
Ученые обнаружили, что гены, расположенные в найденных участках генома, также влияют на липидный обмен, риск развития диабета второго типа, представленность ряда бактерий в кишечнике, уровни гликозилирования белков крови.
Научный коллектив лаборатории искусственного интеллекта в биоинформатике и медицине Института искусственного интеллекта МГУ является одним из мировых лидеров в изучении генетики гликозилирования белков человека — модификации белков, в ходе которой к белку присоединяются комплексные углеводные полимеры. Это исследование имеет большое значение для разработки новых терапевтических мишеней в лечении диабета второго типа.
В будущем эти результаты могут привести к появлению новых лекарственных препаратов для лечения диабета второго типа.
Подробнее на сайте МГУ.
«Умная» машина в роли биолога
В первой половине сентября прошел Второй Международный конгресс «CRISPR-2023», посвященный достижениям клеточной и молекулярной биологии.
Несмотря на то, что основная тематика мероприятия была адресована узким специалистам, некоторые темы оказались способны всколыхнуть воображение у любого слушателя.
Одна из таких тем была посвящена применению искусственного интеллекта в биологии и медицине, которую изложил в своем докладе Юрий Вяткин, старший научный сотрудник лаборатории «ИИ в биоинформатике и медицине».
Конференция ГрафиКон2023
19–21 сентября в Москве проходила 33-я конференция ГрафиКон2023 — крупнейшая в России и странах СНГ международная конференция по компьютерной графике, обработке изображений и машинному зрению, системам визуализации и виртуального окружения.
В рамках конференции с пленарным докладом на тему «Устойчивость метрик качества изображений к состязательным атакам и артефакты JPEG AI» выступил Дмитрий Ватолин, руководитель лаборатории «Интеллектуальный анализ видео» Института ИИ МГУ.
Международный форум онкологии и радиотерапии
12–14 сентября 2023 года проходил VI Международный форум онкологии и радиотерапии «РАДИ ЖИЗНИ — FOR LIFE 2023».
Старший научный сотрудник лаборатории «Искусственный интеллект в биоинформатике и медицине» Дмитрий Штокало в рамках форума выступил с докладом «Актуальные цифровые решения для повышения эффективности генетического тестирования в онкологии».
Конференция «Фундаментальная гликобиология»
Сотрудники Лаборатории «ИИ в биоинформатике и медицине» Института ИИ МГУ выступили с устными докладами на 6-ой Всероссийской конференции «Фундаментальная гликобиология», которая проходила с 11 по 15 сентября в г. Мурманск.
Анна Тимощук с докладом на тему «Полногеномное исследование ассоциаций уровней N-гликозилирования белков плазмы крови человека».
Денис Маслов с докладом на тему «Высокопроизводительное профилирование N-гликома плазмы крови человека методом CGE-LIF».
Международный конгресс CRISPR-2023
11–13 сентября в г. Новосибирск проходил Международный конгресс CRISPR-2023. Технологии редактирования генома стремительно совершенствуются, разделив ход развития науки на «до» и «после» одного из самых знаменитых изобретений биологии. На сегодняшний день CRISPR-системы не только продолжают оставаться объектом и инструментом в фундаментальных исследованиях, но и позволяют исследователям совершать революцию в области медицины, сельского хозяйства, эволюционной и палеобиологии.
Сотрудники лаборатории «Искусственный интеллект в биоинформатике и медицине» принимают активное участие в конгрессе с докладами в рамках секции «Биоинформатические подходы к обработке геномных данных».
Юрий Вяткин выступил с пленарным докладом «Искусственный интеллект в науках о жизни».
Василий Раменский выступил с докладом «Варианты генома: большие базы данных и глубокое обучение».
Бенчмарк устойчивости современных метрик качества к состязательным атакам
7 сентября Сергей Лаврушкин, старший научный сотрудник лаборатории «Интеллектуальный анализ видео», принял участие в конференции Practical МL Conf от Яндекса с докладом на тему «Как выбрать метрику в Loss, или Бенчмарк устойчивости современных метрик качества к состязательным атакам».
В докладе приведены результаты сравнения устойчивости 15+ современных методов оценки качества к различным состязательным атакам, выделены наиболее устойчивые к атакам метрики и продемонстрировано устройство бенчмарка лаборатории «Интеллектуальный анализ видео». Бета бенчмарка опубликована по ссылке.
Сжатие изображений в XXI веке
- Какие артефакты могут возникать при сжатии изображений?
- Какие преимущества у JPEG 2000 перед JPEG и почему он не стал популярен?
- Какие алгоритмы сжатия изображений существуют?
- Какие плюсы и минусы есть у создаваемого сейчас нейросетевого формата JPEG AI?
- Что ожидать от технологий сжатия картинок в будущем?
Об этом рассказывает Дмитрий Ватолин, руководитель лаборатории «Интеллектуальный анализ видео» Института ИИ МГУ для научно-просветительского проекта НаукаPRO.
В июне этого года Дмитрий Сергеевич вошел в состав экспертов комитета стандартизации JPEG AI.
«Армия-2023»
14–20 августа проходил международный военно-технический форум «Армия-2023». Одним из ключевых мероприятий научно-деловой программы форума стал Конгресс «Стратегическое лидерство и технологии искусственного интеллекта».
Константин Воронцов, руководитель лаборатории «Машинное обучение и семантический анализ» Института ИИ МГУ, принял участие в секции № 4 «Научная проблематика в области искусственного интеллекта» с докладом «Интерпретируемость и объяснимость моделей машинного обучения».
Чат-боты научились манипулировать людьми
- Что такое искусственный интеллект?
- Существует ли он на самом деле?
- Чем он отличается от человеческого?
- Можно ли подружиться с умной машиной?
- Какие возможности и опасности сулят нам нейротехнологии?
Об этих вопросах и не только в интервью для портала «Научная Россия» рассуждает Константин Воронцов, руководитель лаборатории «Машинное обучение и семантический анализ» Института ИИ МГУ.
3D-мигрень, стереослепота и бенчмаркинг по-русски: эксперт по обработке видео о трендах в профессии
На сайте просветительского проекта «Истовый инженер» вышло интервью Дмитрия Ватолина, руководителя лаборатории «Интеллектуальный анализ видео» Института ИИ МГУ.
Как развивается глобальная видеоиндустрия, чем известна на этом поприще Россия и на что нужно обратить внимание сегодняшней молодежи, чтобы завтра не проиграть в конкуренции с развивающимся ChatGPT — об этом и не только Вы можете узнать из интервью.
11-я Московская конференция по вычислительной молекулярной биологии
Сотрудники лаборатории «Искусственный интеллект в биоинформатике и медицине» примут участие в 11-й Московской конференции по вычислительной молекулярной биологии (МССМВ 2023), 3–6 августа.
3 августа. Секция «Генетика», 10:00–11:30
Тимощук Анна выступит с докладом «Изучение генетического контроля уровней гликозилирования белков плазмы крови человека».
Секция «Клиническая генетика», 12:00–13:30
Раменский Василий выступит с докладом «О пенетрантности болезнетворных вариантов в геноме человека».
4 августа. Секция «Транскриптомика», 12:00–13:30
Антонец Денис выступит с докладом «Использование условных вариационных автокодировщиков и трансформеров для анализа данных scRNA-Seq».
6 августа. Секция «Белки», 10:00–11:30
Вяткин Юрий выступит с докладом «Языковые модели в изучении белков».
Трансляцию и запись конференции можно посмотреть по ссылке.
Сотрудники Института ИИ МГУ представили свою работу на международной конференции ICLR 2023
Статья сотрудников лаборатории «Интеллектуального анализа видео» Института ИИ МГУ была принята на конференцию ICLR 2023, входящую в CORE A*, по результатам которой опубликована в международном сборнике по компьютерным наукам.
Представленная в статье работа посвящена анализу уязвимости метрик качества видео и была выполнена под кураторством научного сотрудника лаборатории — Анастасии Анциферовой.
Выпущен 15-й бенчмарк для проверки устойчивости метрик качества изображений и видео к состязательным атакам
Лаборатория «Интеллектуального анализа видео» опубликовала очередной 15-й по счету бенчмарк MSU Metrics Robustness, который позволяет проверить устойчивость метрик качества изображений и видео к состязательным атакам.
Ключевые особенности бенчмарка:
- Опубликовано 15 метрик качества изображения/видео;
- 9 состязательных атак, включая атаки на основе FGSM, Universal Adversarial Perturbation и Perceptual-aware;
- 6 датасетов для обучения и тестирования с возможностью анализа разницы поведения на них;
- Автоматический cloud-based конвейер позволит проще расширять бенчмарк.
Наибольшее значение работа имеет не только для упрощения анализа целенаправленной модификации результатов для повышения метрик, но и для предотвращения непреднамеренного взлома, когда при обучении модели происходит повышение метрики без реального улучшения результатов.
Международный семинар IEEE MMSP 2023
Статья по метрикам качества видео под кураторством ведущего научного сотрудника лаборатории «Интеллектуального анализа видео» Дмитрия Куликова принята на 25-й международный семинар IEEE MMSP 2023 по обработке мультимедийных сигналов, который будет проводиться 27–29 сентября 2023 г. в Пуатье, Франция.
Последний этап набора молодых исследователей
Институт искусственного интеллекта МГУ продолжает приём заявок для руководителей научных групп, работающих в сфере искусственного интеллекта и предлагает продолжить активно развивать своё направление при ресурсной и финансовой поддержке института.
Целью набора является поддержка молодых ученых, которые проводят исследования по передовым направлениям искусственного интеллекта.
Узнать подробности и принять участие конкурсном отборе можно по ссылке.
Всемирный Конгресс «Теория систем, алгебраическая биология, искусственный интеллект: математические основы и приложения»
В конце июня в Москве прошел Всемирный конгресс «Теория систем, алгебраическая биология, искусственный интеллект: математические основы и приложения». Организатором Конгресса выступила Российская Академия Наук при участии научных центров России, Беларуси, Казахстана, Таджикистана, Китая, Индии и других стран.
Основная цель конгресса — развитие и распространение теории систем, начиная от теории функциональных систем, биомашсистем, эргатических систем до теории категорных систем и математических теорий систем, алгебраической биологии, искусственного интеллекта с упором на математические основы и разделы фундаментальной математики, представляемые на Конгрессе, и их философского осмысления с практическими применениями в различных областях, включая агропромышленный сектор.
Руководитель лаборатории «Машинное обучение и семантический анализ» Института ИИ МГУ Константин Воронцов в рамках Конгресса выступил с пленарным докладом «Унификация фрагментной разметки текста и оценивания моделей разметки для формализации гуманитарных знаний».
Посмотреть запись можно по ссылке.
Летняя школа «Управление, информация и оптимизация» им. Б.Т. Поляка
10–15 июля в Нижнем Новгороде проходит традиционная молодежная летняя школа «Управление, информация и оптимизация» им. Б.Т. Поляка, соорганизатором которой выступает Институт ИИ МГУ.
Основные тематические направления летней школы:
- Оптимальное управление
- Дискретная и непрерывная оптимизация
- Статистика
- Машинное обучение и приложения
- Математическое моделирование
В рамках образовательной программы Школы с лекцией на тему «Оптимизация на единичных симплексах для обучения тематических моделей и нейронных сетей» выступит руководитель лаборатории «Машинное обучение и семантический анализ» Константин Воронцов.
Руководитель образовательной программы «AI Masters» Юрий Дорн проведёт лекцию на тему «Многорукие бандиты с тяжелыми хвостами».
Как используются нейросети в биоинформатике и медицине?
Об использовании нейросети в биоинформатике и медицине рассказывает Василий Раменский, кандидат физико-математических наук, руководитель Лаборатории искусственного интеллекта в биоинформатике и медицине Института искусственного интеллекта МГУ.
Прочесть статью можно по ссылке.
Институт искусственного интеллекта МГУ объявляет второй этап набора молодых исследователей
Институт искусственного интеллекта МГУ приглашает руководителей научных групп, работающих в сфере искусственного интеллекта, продолжить активно развивать своё направление при ресурсной и финансовой поддержке института.
Целью набора является поддержка молодых ученых, которые проводят исследования по передовым направлениям искусственного интеллекта.
Отбор проходит по 9 направлениям:
- Компьютерное зрение;
- Графовые нейронные сети;
- Обучение с подкреплением;
- Федеративное обучение;
- Физически дополненные нейронные сети;
- Генеративный искусственный интеллект;
- ИИ для материаловедения;
- ИИ в психологии;
- Нейроэстетика.
Финансовая поддержка составит до 10 млн рублей в год для научной группы.
Для участия в конкурсном отборе необходимо заполнить заявку по ссылке до 1 августа.
Конкурс междисциплинарных научных проектов исследовательских коллективов МГУ имени М.В. Ломоносова
Приказом ректора Московского университета от 23 июня 2023 года № 860 определен список проектов-победителей конкурса. В него вошли 76 проектов, которые будут реализовывать сотрудники, аспиранты, ординаторы и студенты 39 подразделений МГУ.
В рамках междисциплинарной научно-образовательной школы «Мозг, когнитивные системы, искусственный интеллект» была поддержана заявка на проект «Разработка гибких многослойных тонкопленочных электродов для нейроинтерфейсов с использованием методов мультиматериальной 3D-печати».
Проект выполняется научной группой «Инвазивных нейроинтерфейсов» Института ИИ МГУ в партнерстве с учеными физического факультета, института физико-химической биологии, химического и механико-математического факультета.
В рамках проекта будут разрабатываться минимально инвазивные нейроинтерфейсы. Подобные устройства востребованы для инновационных медицинских задач, таких как создание протезов конечностей с тактильной чувствительностью, протезирование зрения и слуха, а также терапия неврологических состояний, таких как депрессия, болезнь Паркинсона и эпилепсия.
С полным списком научных групп МГУ, получивших гранты, можно ознакомиться по ссылке.
Международный научный конгресс Университетского консорциума исследователей больших данных
24 июня в рамках «Международного научного конгресса Университетского консорциума исследователей больших данных» сотрудники лаборатории «Машинное обучение и семантический анализ» Института ИИ МГУ презентовали проект:
«Проблемы параметризации концептуального пространства «муниципальная власть» в медиадискурсе для разработки ИАС по оценке социально-коммуникативного потенциала муниципальной власти в регионах на примере Московской области».
В рамках Конгресса руководитель образовательной программы в области наук о данных «AI Masters» Института ИИ МГУ Юрий Дорн также выступил в качестве эксперта дискуссии «Проектирование образовательных программ для ИИ» в рамках «Международного научного конгресса Университетского консорциума исследователей больших данных».
Гравитация 2023
В рамках международной университетской премии в области искусственного интеллекта и больших данных «Гравитация» состоялась церемония награждения лучших проектов.
Коллектив сотрудников лаборатории «Машинное обучение и семантический анализ» Института ИИ МГУ получил премию перспективного проекта в номинации «Алгоритмы и программные решения в области ИИ и больших данных» с проектом «Тематизатор».
Проект даст возможность неспециалистам в области машинного обучения и тематического моделирования использовать преимущества подхода BigARTM в широком спектре прикладных задач, в том числе для анализа СМИ и социальных медиа, анализа научных публикаций, патентоведения, библиотечного дела, медицины, обработки геномных данных и пр.
Запись трансляции премии по ссылке.
Форум «Искусственный интеллект в отрасли: барьеры и стимулы»
19–20 июня прошел Форум «Искусственный интеллект в отрасли: барьеры и стимулы» Института ИИ МГУ, который был нацелен на создание открытого диалога между индустрией и наукой о приоритетных задачах и возникающих трендах.
Форум проходил в режиме онлайн с участием более 25 докладчиков из ведущих компаний России, которым удалось обсудить такие темы, как цифровая зрелость отраслей, актуальные цифровые инициативы, подготовка кадров для работы с данными и ИИ, поделиться опытом и приоритетными задачами для индустрии.
Ученые, представители государственных органов и компаний из различных отраслей экономики смогли обсудить не только решение глобальных и отраслевых проблем, но и задачи преодоления разрыва между научными исследованиями и их внедрением в реальный сектор экономики.
- Как используется ИИ в промышленности и ИТ-отрасли?
- В каких индустриях есть проблемы обоснования использования технологий ИИ и понимания экономического эффекта?
- Какие задачи остаются открытыми для научного сообщества?
- Какие ожидания у кампаний от начинающих специалистов в ИИ?
Эти и многие другие актуальные вопросы были затронуты участниками на площадке Форума.
Участники Дискуссионного клуба «Цифровая медицина» обсудили развитие цифровых инструментов в генетике
Сотрудник лаборатории «Искусственный интеллект в биоинформатике и медицине» Института ИИ МГУ Дмитрий Штокало выступил с докладом на тему «Цифровые решения для практической генетики» на встрече Дискуссионного клуба «Цифровая медицина».
Запись мероприятия можно посмотреть по ссылке.
Участники ПМЭФ оценили угрозу искусственного интеллекта для высшего образования
Руководитель лаборатории «Машинное обучение и семантический анализ» Института ИИ МГУ Константин Воронцов принял участие в дискуссии «ИИ В ВЫСШЕМ ОБРАЗОВАНИИ — ПРОРЫВ ИЛИ ДЕГРАДАЦИЯ?» в рамках секции «Выстраивая технологический суверенитет» на ПМЭФ 2023.
Запись дискуссии можно посмотреть здесь.
Сотрудники Лаборатории «ИИ в биоинформатике и медицине» приняли участие в симпозиуме Human Glycome Project Meeting
Сотрудники Лаборатории «ИИ в биоинформатике и медицине» Содбо Шарапов и Анна Тимощук представили постерные доклады по изучению генетического контроля N-гликозилирования на симпозиуме Human Glycome Project Meeting, который проходил 4–7 июня в Сплите, Хорватия.
Коллеги обсудили текущие результаты с европейскими коллабораторами, а также обсудили стратегии дальнейших совместных исследований.
Кроме того, был опубликован обзор по теме исследования в высокорейтинговом журнале.
Форум «Искусственный интеллект в отрасли: барьеры и стимулы»
С 19 до 20 июня состоится форум об искусственном интеллекте в отрасли, организованный Институтом перспективных исследований проблем искусственного интеллекта и интеллектуальных систем МГУ имени М.В. Ломоносова.
Форум нацелен на создание открытого диалога между индустрией и наукой о приоритетных задачах, в решении которых могут быть использованы технологии ИИ, о возникающих барьерах и зарождающихся трендах.
В ходе двухдневной программы будут представлены действующие разработки и открытые задачи с применением технологий искусственного интеллекта индустриальных компаний из ключевых отраслей экономики.
Работа Форума пройдет в режиме онлайн, в формате сессионных заседаний и дискуссий по следующим темам: «Практика работы с искусственным интеллектом и данными в ключевых отраслях экономики», «Большие языковые модели: главный прорыв в области ИИ», «Диалог бизнеса и ученых в области ИИ: как увеличить эффективность взаимодействия», «ИИ в индустрии: неограниченные возможности vs актуальные задачи», «Подготовка кадров для работы с данными и ИИ».
На Форуме планируют своё выступление представители Газпром нефть, ВТБ, Сбер, ВК, ЦИАН, Роснефть, Альфа-Банк, Почта России, СИБУР Диджитал и других организаций, которые заинтересованы в обсуждении актуальных вопросов в области искусственного интеллекта.
Для участия и доступа к трансляции Форума необходимо зарегистрироваться на сайте: https://iai.msu.ru/forum/#registration
Институт ИИ МГУ подписал соглашение о вступлении в ассоциацию «Университетский консорциум исследователей больших данных»
Инициаторами вступления в Консорциум стала Лаборатория «Машинное обучение и семантический анализ» с целью развития научных исследований и образовательных программ в области сбора, обработки и анализа больших массивов данных.
Университетский консорциум исследователей больших данных — объединение образовательных организаций, реализующих фундаментальные и прикладные исследования, а также ведущие разработку продуктов и инструментария для работы с большими данными.
Консорциум проводит исследования по широкому спектру социально значимых направлений, включая образование, общественную безопасность, экономику, политику.
Подробнее о Консорциуме можно узнать на официальном сайте.
Кардиология на марше 2023
Руководитель Лаборатории «ИИ в биоинформатике и медицине» Василий Раменский выступил с докладом «Новый взгляд на пенетрантность вариантов генома» на секции «Генетика в кардиологии» в рамках Всероссийской научно-практической конференции «Кардиология на марше 2023».
Подробнее на сайте.
Слет участников нейроиндустрии: нейротехнологии здорового человека
Руководитель научной группы «Инвазивных нейроинтерфейсов» Института ИИ МГУ Василий Попков рассказал о проблемах биосовместимости инвазивных нейроинтерфейсов на слете участников нейроиндустрии во Владивостоке.
Подробнее на сайте.
Международный IT-Форум с участием стран БРИКС и ШОС
Руководитель лаборатории «Машинное обучение и семантический анализ» Института ИИ МГУ Константин Воронцов принял участие в пленарной дискуссии Международной конференции «Цифровая трансформация отрасли «Образование»» на площадке XIV Международного IT-Форума с участием стран БРИКС и ШОС, г. Ханты-Мансийск.
Подробнее о Форуме на сайте.
Запущена регистрация на программу AI Masters. Набор 2023
AI Masters — образовательная программа Института ИИ МГУ, которая готовит аналитиков и специалистов по Data Science с гибким набором курсов.
Продолжительность обучения: 2 года
Время занятий: по будням с 18:00 до 21:00
Загрузка: в среднем 30 часов в неделю
Обучение бесплатное.
Мы предлагаем ~30 курсов, в том числе:
- Цикл курсов «Машинное обучение» от Александра Дьяконова (МГУ, Kaggle Grandmaster),
- Computer Vision & Video Processing от Дмитрия Ватолина (МГУ) и Сергея Загоруйко (МТС),
- Вычислительная линейная алгебра от Ивана Оселедца (Skoltech),
- Математическая статистика и ее приложения от Владимира Панова (ВШЭ),
- Big Data and Data Engineering от Андрея Жукова (CTO S7 TechLab),
- Продуктовая аналитика от Кирилла Кочнева (Head of Analytics Headhunter.ru),
- Генеративные модели от Романа Исаченко (Yandex),
- Natural Language Processing от Александра Панченко (Skoltech),
- Reinforcement Learning от Артема Сорокина (МФТИ), Павла Термичева (Skoltech) и Дмитрия Сорокина (AIRI),
- Вероятностные графические модели от Александра Алексейцева (Head of Data Science, Cian), и многие другие.
Информацию об этапах поступления, описание курсов и требования к поступающим можно узнать на сайте.
Искусственный интеллект: прошлое, настоящее и чего ожидать в будущем?
В новом выпуске проекта «НаукаPRO» вышло интервью с Константином Воронцовым, руководителем лаборатории «Машинное обучение и семантический анализ».
Темой выпуска стал искусственный интеллект: прошлое, настоящее и чего ожидать в будущем?
Как развивались технологии искусственного интеллекта с середины 20-го века и до наших дней?
Что такое машинное обучение, как оно позволяет заменить эксперта и в каких областях используется?
Что собой представляют глубокие нейронные сети и почему они обретают всё большую популярность?
Каковы перспективные направления развития искусственного интеллекта и для чего вообще его стоит развивать?
Ответы на эти и другие вопросы можно найти по ссылке.
Константин Воронцов принял участие в программе «Наблюдатель» на телеканале «Россия-Культура»
Руководитель лаборатории «Машинное обучение и семантический анализ» Константин Воронцов принял участие в программе «Наблюдатель» на телеканале «Россия-Культура».
Выпуск был посвящен теме искусственного интеллекта, а ведущие специалисты в этой области дискутировали о тех потенциальных рисках и возможностях, которые приходят в нашу жизнь с развитием технологий.
Запись программы можно увидеть по ссылке.
Лаборатория «Семантический анализ и машинное обучение» приняла участие в работе II Всероссийской научной конференции «Искусственный интеллект в автоматизированных системах управления и обработки данных»
В состав программного комитета входили:
- Воронцов Константин Вячеславович, Карабулатова Ирина Советовна.
- Карабулатова Ирина Советовна, доктор филологических наук, профессор, академик РЕАН руководила секцией «Цифровая гуманитаристика, анализ и обработка естественного языка».
Выступающие:
- Шабельская Ника Кирилловна — Возможности формализации персуазивных маркеров «мягкой силы» в этнокультурном ценностном коде: на материале переводного сказочного кинодискурса России и Китая.
- Околышев Даниил Анатольевич — Коммуникативные типажи муниципальных служащих в публичном информационном пространстве.
- Анумян Карпис Саркисович — К вопросу о выделении эмотикона в языке: на материале эмотикемы удивлении.
Лекции ученых Института ИИ МГУ в Китае
С 25 марта по 11 апреля состоялась поездка руководителя лаборатории «Машинное обучение и семантический анализ» Константина Воронцова и проф. Ирины Карабулатовой по приглашению университета Циньхуа в Пекин. Это первый визит российских ученых в один из самых престижных университетов, который занимает первую строчку среди лучших высших учебных заведений Китая и лидирующую позицию в мировых рейтингах в различных областях науки и образования.
В рамках поездки, ученые Института ИИ МГУ рассказали о перспективных направлениях развития российской науки в области искусственного интеллекта, поделились новыми возможностями и результатами, позволяющими утверждать о необходимости синтеза точных и гуманитарных наук.
Мероприятия в Пекине прошли с большим интересом со стороны студентов и молодых ученых, присутствовавших на лекциях российских профессоров.Поездка стала важным этапом в развитии российско-китайского научного сотрудничества, продемонстрировала потенциал для более глубокого сотрудничества в будущем.
Константин Воронцов принял участие в международной конференции по машинному обучению, анализу данных и технологиям ИИ «Data Fusion 2023»
Руководитель лаборатории «Машинное обучение и семантический анализ» Константин Воронцов в рамках конференции «Data Fusion 2023» выступил модератором дискуссии, посвящённой возможностям и ограничениям создания аналога ChatGPT в России. Участники сессии обсудили одну из самых «горячих» тем в области искусственного интеллекта, в рамках которой эксперты предположили какие технологии и в какие сроки российские ученые могут привнести в «российский ChatGPT», чтобы наше развитие в этой области стало опережающим.
Запись дискуссии можно посмотреть здесь.
Лаборатория «Интеллектуальный анализ видео» подала две статьи на Data Compression Conference 2023
Ученые Максим Железов, Евгений Ляпустин, Андрей Москаленко и Дмитрий Ватолин в своей статье «Choosing the best projection for 360 video» сранивают эффективность различных проекций для видео 360 на различных кодеках, включая AV1, HEVC, VP9 и AVC. Тип такого контента достаточно трудный в связи с растущей ошибкой при перепроецировании, вызванной кодеками. Поэтому в статье проводится сравнение различных проекций и различных пар кодеков, чтобы выявить наиболее устойчивую проекцию к кодированию. Результаты, представленные в статье, используют как объективные метрики, так и субъективное сравнение на статичных областях просмотра.
Субъективное измерение качества изображения играет решающую роль в разработке приложений для обработки изображений. Метрики визуального качества служат для аппроксимация результатов субъективной оценки. В связи с этим разрабатывается все больше и больше метрик, но их ограничения мало исследованы. Ученые Максим Синюков, Дмитрий Куликов и Дмитрий Ватолин в статье «Applicability limitations of differentiable full-reference image-quality metrics» рассматривают ограничения метрик качества изображений: они показывают, как предобработка изображений до сжатия может искусственно повышать популярные метрики DISTS, LPIPS, HaarPSI и VIF, а также то, что метрики не соответствуют субъективному качеству изображений. Они предлагают серию нейросетевых моделей предобработки изображений, которые увеличивают DISTS до 34,5 %, LPIPS до 36,8 %, VIF до 98,0 % и HaarPSI до 22,6 % в случае изображений, сжатых в формате JPEG. Субъективное сравнение предварительно обработанных изображений показало, что для большинства исследованных ими метрик качество изображения падает или остается неизменным, что ограничивает применимость этих метрик.
Лаборатория «Искусственный интеллект в биоинформатике и медицине» работает над созданием нейросети, способной объединять знания из разных публикаций
В мире работает много коллективов учёных молекулярных биологов, которые изучают эффект от воздействия каким-либо препаратом на клетки человека. Таким образом они ищут потенциальные лекарства. После года или нескольких лет работы одного коллектива получается результат — новые знания и соответствующий набор данных. Часть исследований публикуется в открытых источниках — научных статьях. В одной публикации, как правило, представлен один или несколько типов клеток и один или несколько препаратов. А что, если создать нейросеть, способную объединять знания из разных публикаций? Тогда препарат, используемый в одном исследовании, можно было бы виртуально испытать на клетках, полученных в другом исследовании. Над созданием такой нейросети трудится Лаборатория «Искусственный интеллект в биоинформатике и медицине».
Проведена большая работа по подготовке публичных датасетов секвенирования единичных клеток scRNAseq для использования в обучении нейросетей. После оценки качества данных отобрано 50 датасетов, содержащих результаты транскриптомных исследований и 559 биологических образцов. Лаборатория приступила к созданию нейросети, способной предсказывать результат воздействия любого из 71 препаратов на любую из 21 тканей и клеточных линий человека. Это может помочь в подборе индивидуальных лекарственных препаратов против рака, аутоиммунных заболеваний и вирусных инфекций.
Статья Дмитрия Ватолина заняла первое место в топе публикаций месяца на Хабре
Статья руководителя лаборатории «Интеллектуальный анализ видео» Дмитрия Ватолина «К вопросу о математических способностях студентов или как учить переполненный мозг» набрала более 100 тысяч прочтений и заняла первое место в топе публикаций месяца на Хабре. Прочитать статью можно здесь.
Бенчмарки лаборатории «Интеллектуальный анализ видео» заняли первые места на Papers With Code
Бенчмарки лаборатории «Интеллектуальный анализ видео» заняли первые места в категориях «Video Quality Assessment», «Camera shot boundary detection» и «Image Quality Assessment» на портале Papers With Code.
Лаборатория «Машинное обучение и семантический анализ» открыла программу стажировки для студентов ВМК МГУ
В октябре 2022 года лаборатория машинного обучения и семантического анализа Института ИИ открыла программу стажировки для студентов ВМК МГУ, направленную на создание набора инструментов для распознавания в информационных потоках противоречий, манипуляций, пропаганды, позиций авторов и других свойств текстов разработку процедур использования созданного набора инструментов стандартизацию представления данных для широкого круга задач NLP. Предусмотрено расширение программы стажировки для студентов гуманитарных специальностей.
Дмитрий Ватолин принял участие в ряде конференций по технологиям видео
В конце ноября руководитель лаборатории «Интеллектуальный анализ видео» Дмитрий Ватолин принял участие в конференции Data Algorithm & Unstructured Data Storage Workshop 2022, а также в Большой конференции Яндекса о видео, в рамках которой выступил с докладом «Почему измерять качество видео скоро станет еще сложнее». Посмотреть запись выступления можно здесь. В начале декабря Дмитрий выступил на конференции Future Color & Audio Technologies с докладом «Video Enhancement Methods, Benchmarks and Metrics: SR, HDR and others».
Дмитрий Ватолин опубликовал статью на Хабре
Руководитель лаборатории «Интеллектуальный анализ видео» Дмитрий Ватолин опубликовал на Хабре статью «Хакинг метрик качества видео или как с приходом ИИ все становится намного сложнее». В течение недели статья сохраняла место в топ-10 наиболее читаемых на Хабре публикаций. Прочитать статью можно здесь.
Лаборатория «Машинное обучение и семантический анализ» приняла участие в работе Первого петербургского конгресса исследователей международных отношений
Константин Воронцов и Ольга Ринк выступили на секции «Цифровой поворот» в методологии исследований международных процессов: результаты прикладных исследований» с докладом «Возможности искусственного интеллекта для области исследований международных отношений. Ирина Карабулатова выступила на секции «Искусственный интеллект и цифровое измерение международных отношений» с докладом «К вопросу оценки методов паравербально-невербальной иллокуции в современном массмедийном дискурсе как задачи для совершенствования инструментов искусственного интеллекта».
Статья лаборатории «Интеллектуальный анализ видео» вошла в топ-10% лучших на конференции под эгидой IEEE
Статья лаборатории «Интеллектуальный анализ видео» «Bit-depth enhancement detection for compressed video» вошла в топ-10% лучших на конференции (https://attend.ieee.org/mmsp-2022/) «IEEE 24th International Workshop on Multimedia Signal Processing». Конференция прошла под эгидой международной некоммерческой организации IEEE в Шанхае с 26 по 28 сентября 2022 года.
Дмитрий Ватолин принял участие в крупнейшей профильной конференции по технологиям видео и стриминга в Санкт-Петербурге
Руководитель лаборатории «Интеллектуальный анализ видео» Дмитрий Ватолин принял участие в крупнейшей профильной конференции (https://vtconf.com/) по технологиям видео и стриминга в Санкт-Петербурге. Д. Ватолин выступил с докладами «Нейросетевые артефакты сжатия и увеличения разрешения — дивный новый мир» и «Как улучшить сжатие на 20% с помощью машинного обучения, не тратя 300+ машино-лет расчетов?», а также поучаствовал в дискуссии «Про современные кодеки» совместно с коллегами из Huawei Technologies, «Кинопоиска» и JUG Ru Group.
Статья ученых лаборатории «Интеллектуальный анализ видео» была принята на конференцию NeurIPS 2022 в треке «Наборы данных и Бенчмарки»
Статья «Video compression dataset and benchmark of learning-based video-quality metrics» за авторством ученых лаборатории «Интеллектуальный анализ видео» Анастасии Анциферовой, Сергея Лаврушкина, Максима Смирнова, Александра Гущина, Дмитрия Ватолина была принята на конференцию NeurIPS 2022 в треке «Наборы данных и Бенчмарки». В работе описывается новый бенчмарк методов объективной оценки качества видео в рамках задачи сжатия. Также данный бенчмарк включает в себя новый набор данных, включающий в себя более 1500 видеопотоков.
Дмитрий Ватолин выступил с докладом на конференции «ГрафиКон-2022»
Заведующий лабораторией «Интеллектуальный анализ видео» Дмитрий Ватолин выступил с докладом «Метрики качества или как ML/DL могут существенно усложнить решение задачи» на конференции «ГрафиКон-2022» — крупнейшей в России и странах СНГ конференции в области компьютерной графики, обработки изображений и машинного зрения, систем визуализации и виртуального окружения. В докладе рассматриваются различные нейросетевые артефакты, возникающие в таких важных задачах обработки изображений и видео, как сжатие и повышение разрешения, и поднимается вопрос необходимости создания новых методов оценки качества, которые бы учитывали данные артефакты. Данный доклад также будет представлен на конференциях PlayButton и VideoTech.
Профессор Карабулатова И.С. прочитала курс лекций в рамках Росcийско-китайской международной технологической научной школы в Харбине
Профессор лаборатории «Машинное обучение и семантический анализ» Карабулатова И.С. прочитала курс лекций в качестве приглашенного лектора в рамках Росийско-Китайской Международной Технологической Научной школы в Харбине на базе Харбинского политехнического университета. В рамках курса «Мультимодальные коммуникационные технологии манипулирования в современных масс-медиа: вопросы массовой коммуникации и информационной безопасности». Были рассмотрены вопросы устройства современной мультимодальной коммуникационной системы манипулирования общественным и индивидуальным сознанием: что такое персуазивность, деструктема, конструктема, эмотикема и манипулема, как определить степень воздействия по лингвистическим маркерам и др. Курс посетили около 100 слушателей из России, Китая, Индии и Пакистана.
Статья учёных лаборатории «Машинное обучение и семантический анализ» опубликована в ведущем мировом журнале по психолингвистике
Учёные лаборатории «Машинное обучение и семантический анализ» активно разрабатывают проблематику восприятия целевых аудиторий на предъявление информации, обладающей скрытой конфликтогенностью и опасностью как среди монолингвов, так и билингвов. Опубликована статья «Emotive Tonality of the «Youth—Old Age» Dichotomy in Russian and Chinese Media Discourses: The Stage of Psychosemantic Expertise» в ведущем мировом журнале по психолингвистике «Journal of Psycholinguistic Research». Авторы рассматривают эмотивность восприятия и самовосприятия этапов возраста в русской и китайской языковой среде. Исследование выполнено совместно с китайскими исследователями, аспирантами, работающими в России под руководством профессора И.С. Карабулатовой.